Rabbit Polyclonal Antibody to ATG12 (N-term)
货号:
P33999
别名:
Ubiquitin-like protein ATG12, Autophagy-related protein 12, APG12-like, ATG12, APG12, APG12L
应用:
WB,IHC,IF
反应种属:
Human
抗体类型:
Primary antibody
Swissprot:
O94817
规格:
目录价
在线咨询
Description |
|---|
Macroautophagy is the major inducible pathway for the general turnover of cytoplasmic constituents in eukaryotic cells, it is also responsible for the degradation of active cytoplasmic enzymes and organelles during nutrient starvation. Macroautophagy involves the formation of double-membrane bound autophagosomes which enclose the cytoplasmic constituent targeted for degradation in a membrane bound structure, which then fuse with the lysosome (or vacuole) releasing a single-membrane bound autophagic bodies which are then degraded within the lysosome (or vacuole). APG12L is the human homolog of yeast APG12, a ubiquitin-activating enzyme E1-like protein essential for the conjugation system that mediates membrane fusion in autophagy. |
Specification |
|
|---|---|
| Aliases | Ubiquitin-like protein ATG12, Autophagy-related protein 12, APG12-like, ATG12, APG12, APG12L |
| Entrez GeneID | 9140 |
| Swissprot | O94817 |
| WB Predicted band size | 15.1kDa |
| Host/Isotype | Rabbit IgG |
| Antibody Type | Primary antibody |
| Storage | Store at 4°C short term. Aliquot and store at -20°C long term. Avoid freeze/thaw cycles. |
| Species Reactivity | Human |
| Immunogen | This ATG12 antibody is generated from rabbits immunized with a KLH conjugated synthetic peptide between 1-30 amino acids from the N-terminal region of human ATG12. |
| Formulation | Purified antibody in PBS with 0.05% sodium azide. |
Application |
|
|---|---|
| WB | 1/500-1/2000 |
| IHC | 1/100-1/500 |
| IF | 1/200 |
Product Image
-
Anti-APG12L Antibody (E3) at 1:500 dilution + HCT116 whole cell lysate Lysates/proteins at 20 µg per lane. Secondary Goat Anti-Rabbit IgG, (H+L), Peroxidase conjugated at 1/10000 dilution. Predicted band size : 15 kDa Blocking/Dilution buffer: 5% NFDM/TBST.

-
All lanes : Anti-APG12L Antibody (E3) at 1:2000 dilution Lane 1: A549 whole cell lysate Lane 2: Hela whole cell lysate Lysates/proteins at 20 µg per lane. Secondary Goat Anti-Rabbit IgG, (H+L), Peroxidase conjugated at 1/10000 dilution. Predicted band size : 15 kDa Blocking/Dilution buffer: 5% NFDM/TBST.

-
Fluorescent image of U251 cells stained with ATG12 (N-term) antibody. U251 cells were treated with Chloroquine (50 μM,16h), then fixed with 4% PFA (20 min), permeabilized with Triton X-100 (0.2%, 30 min). Cells were then incubated with P33999 ATG12 (N-term) primary antibody (1:200, 2 h at room temperature). For secondary antibody, Alexa Fluor® 488 conjugated donkey anti-rabbit antibody (green) was used (1:1000, 1h). Nuclei were counterstained with Hoechst 33342 (blue) (10 μg/ml, 5 min). ATG12 immunoreactivity is localized to autophagic vacuoles in the cytoplasm of U251 cells.

-
Formalin-fixed and paraffin-embedded human cancer tissue reacted with the primary antibody, which was peroxidase-conjugated to the secondary antibody, followed by DAB staining. This data demonstrates the use of this antibody for immunohistochemistry; clinical relevance has not been evaluated. BC = breast carcinoma; HC = hepatocarcinoma.

-
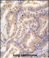
Formalin-fixed and paraffin-embedded human lung carcinoma tissue reacted with Autophagy APG12L antibody (N-term) (Cat.#P33999), which was peroxidase-conjugated to the secondary antibody, followed by DAB staining. This data demonstrates the use of this antibody for immunohistochemistry; clinical relevance has not been evaluated.






鄂公网安备42018502007531号

