Rabbit Polyclonal Antibody to SP1 (C-term P692)
货号:
P33975
别名:
Transcription factor Sp1, SP1, TSFP1
应用:
WB,IHC,IF,FCM
反应种属:
Human, Mouse, Rat
抗体类型:
Primary antibody
Swissprot:
P08047
规格:
目录价
在线咨询
Description |
|---|
Transcription factor that can activate or repress transcription in response to physiological and pathological stimuli. Binds with high affinity to GC-rich motifs and regulates the expression of a large number of genes involved in a variety of processes such as cell growth, apoptosis, differentiation and immune responses. Highly regulated by post-translational modifications (phosphorylations, sumoylation, proteolytic cleavage, glycosylation and acetylation). Binds also the PDGFR-alpha G-box promoter. May have a role in modulating the cellular response to DNA damage. Implicated in chromatin remodeling. Plays a role in the recruitment of SMARCA4/BRG1 on the c-FOS promoter. Plays an essential role in the regulation of FE65 gene expression. |
Specification |
|
|---|---|
| Aliases | Transcription factor Sp1, SP1, TSFP1 |
| Entrez GeneID | 6667 |
| Swissprot | P08047 |
| WB Predicted band size | 80.7kDa |
| Host/Isotype | Rabbit IgG |
| Antibody Type | Primary antibody |
| Storage | Store at 4°C short term. Aliquot and store at -20°C long term. Avoid freeze/thaw cycles. |
| Species Reactivity | Human, Mouse, Rat |
| Immunogen | This SP1 antibody is generated from rabbits immunized with a KLH conjugated synthetic peptide between 677-707 amino acids from the C-terminal region of human SP1. |
| Formulation | Purified antibody in PBS with 0.05% sodium azide. |
Application |
|
|---|---|
| WB | 1/500-1/1000 |
| IHC | 1/100-1/500 |
| IF | 1/10-1/50 |
| FCM | 1/10-1/50 |
Product Image
-
Anti-SP1 Antibody (C-term P692) at 1:500 dilution + Hela whole cell lysate Lysates/proteins at 20 µg per lane. Secondary Goat Anti-Rabbit IgG, (H+L), Peroxidase conjugated at 1/10000 dilution. Predicted band size : 81 kDa Blocking/Dilution buffer: 5% NFDM/TBST.

-
SP1 Antibody (C-term P692) (Cat. #P33975) western blot analysis in K562 cell line lysates (35ug/lane).This demonstrates the SP1 antibody detected the SP1 protein (arrow).

-
Confocal immunofluorescent analysis of SP1 Antibody (C-term P692)(Cat#P33975) with WiDr cell followed by Alexa Fluor 488-conjugated goat anti-rabbit lgG (green). DAPI was used to stain the cell nuclear (blue).

-
SP1 Antibody (C-term P692) (Cat. #P33975) flow cytometric analysis of K562 cells (right histogram) compared to a negative control cell (left histogram).FITC-conjugated goat-anti-rabbit secondary antibodies were used for the analysis.

-
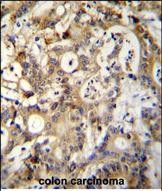
SP1 Antibody (C-term P692) (Cat. #P33975)immunohistochemistry analysis in formalin fixed and paraffin embedded human colon carcinoma followed by peroxidase conjugation of the secondary antibody and DAB staining.This data demonstrates the use of SP1 Antibody (C-term P692) for immunohistochemistry. Clinical relevance has not been evaluated.






鄂公网安备42018502007531号

