Rabbit Polyclonal Antibody to NANOG (N-term)
货号:
P33758
别名:
Homeobox protein NANOG, Homeobox transcription factor Nanog, hNanog, NANOG
应用:
WB,IHC,IF,FCM
反应种属:
Human
抗体类型:
Primary antibody
Swissprot:
Q9H9S0
规格:
目录价
在线咨询
Description |
|---|
NANOG is a transcription regulator involved in inner cell mass and embryonic stem (ES) cell proliferation and self-renewal. It imposes pluripotency on ES cells and prevents their differentiation towards extraembryonic endoderm and trophectoderm lineages. This protein blocks bone morphogenetic protein-induced mesoderm differentiation of ES cells by physically interacting with SMAD1 and interfering with the recruitment of coactivators to the active SMAD transcriptional complexes. NANOG acts as a transcriptional activator or repressor. It binds optimally to the DNA consensus sequence 5'-[CG][GA][CG]C[GC]ATTAN[GC]-3'. When overexpressed, this protein promotes cells to enter into S phase and proliferation. |
Specification |
|
|---|---|
| Aliases | Homeobox protein NANOG, Homeobox transcription factor Nanog, hNanog, NANOG |
| Entrez GeneID | 79923 |
| Swissprot | Q9H9S0 |
| WB Predicted band size | 34.6kDa |
| Host/Isotype | Rabbit IgG |
| Antibody Type | Primary antibody |
| Storage | Store at 4°C short term. Aliquot and store at -20°C long term. Avoid freeze/thaw cycles. |
| Species Reactivity | Human |
| Immunogen | This NANOG antibody is generated from rabbits immunized with a KLH conjugated synthetic peptide between 15-49 amino acids from the N-terminal region of human NANOG. |
| Formulation | Purified antibody in PBS with 0.05% sodium azide,1%BSA and 50% glycerol.prepared by Saturated Ammonium Sulfate (SAS) . |
Application |
|
|---|---|
| WB | 1/1000 |
| IHC | 1/100-1/500 |
| IF | 1/10-1/50 |
| FCM | 1/10-1/50 |
Product Image
-
All lanes : Anti-NANOG Antibody (N-term) at 1:1000 dilution Lane 1: A2780 whole cell lysate Lane 2: OVCAR3 whole cell lysate Lysates/proteins at 20 µg per lane. Secondary Goat Anti-Rabbit IgG, (H+L), Peroxidase conjugated at 1/10000 dilution. Predicted band size : 35 kDa Blocking/Dilution buffer: 5% NFDM/TBST.

-
Western blot analysis of anti-NANOG Antibody (N-term) (Cat.#P33758) in K562 cell line lysates (35ug/lane). NANOG (arrow) was detected using the purified Pab.Western blot analysis of NANOG (arrow) using rabbit polyclonal NANOG Antibody (N-term) (Cat.#P33758). 293 cell lysates (2 ug/lane) either nontransfected (Lane 1) or transiently transfected with the NANOG gene (Lane 2) (Origene Technologies).

-
Fluorescent confocal image of SY5Y cells stained with P33758 NANOG (N-term) antibody. SY5Y cells were fixed with 4% PFA (20 min), permeabilized with Triton X-100 (0.2%, 30 min), then incubated with P33758 NANOG (N-term) primary antibody (1:500, 2 h at room temperature). For secondary antibody, Alexa Fluor® 488 conjugated donkey anti-rabbit antibody (green) was used (1:1000, 1h). Cytoplasmic actin was counterstained with Alexa Fluor® 555 (red) conjugated Phalloidin (5.25 μM, 25 min). Nuclei were counterstained with Hoechst 33342 (blue) (10 µg/ml, 3 min). Nanog immunoreactivity is localized mainly to the nuclei of the SY5Y cells.

-
NANOG Antibody (N-term) (Cat. #P33758) flow cytometric analysis of HepG2 cells (right histogram) compared to a negative control cell (left histogram).FITC-conjugated goat-anti-rabbit secondary antibodies were used for the analysis.

-
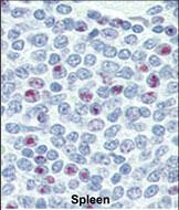
Formalin-fixed and paraffin-embedded human Spleen tissue reacted with NANOG Antibody (N-term)(Cat.#P33758), which was peroxidase-conjugated to the secondary antibody, followed by AEC staining. This data demonstrates the use of this antibody for immunohistochemistry; clinical relevance has not been evaluated.






鄂公网安备42018502007531号

