Rabbit Polyclonal Antibody to EphA2 (N-term)
货号:
P33578
别名:
Ephrin type-A receptor 2, Epithelial cell kinase, Tyrosine-protein kinase receptor ECK, EPHA2, ECK
应用:
WB,IHC,FCM
反应种属:
Human, Mouse
抗体类型:
Primary antibody
Swissprot:
P29317
规格:
目录价
在线咨询
Description |
|---|
Protein kinases are enzymes that transfer a phosphate group from a phosphate donor, generally the g phosphate of ATP, onto an acceptor amino acid in a substrate protein. By this basic mechanism, protein kinases mediate most of the signal transduction in eukaryotic cells, regulating cellular metabolism, transcription, cell cycle progression, cytoskeletal rearrangement and cell movement, apoptosis, and differentiation. With more than 500 gene products, the protein kinase family is one of the largest families of proteins in eukaryotes. The family has been classified in 8 major groups based on sequence comparison of their tyrosine (PTK) or serine/threonine (STK) kinase catalytic domains. The tyrosine kinase (TK) group is mainly involved in the regulation of cell-cell interactions such as differentiation, adhesion, motility and death. There are currently about 90 TK genes sequenced, 58 are of receptor protein TK (e.g. EGFR, EPH, FGFR, PDGFR, TRK, and VEGFR families), and 32 of cytosolic TK (e.g. ABL, FAK, JAK, and SRC families). |
Specification |
|
|---|---|
| Aliases | Ephrin type-A receptor 2, Epithelial cell kinase, Tyrosine-protein kinase receptor ECK, EPHA2, ECK |
| Entrez GeneID | 1969 |
| Swissprot | P29317 |
| WB Predicted band size | 108.3kDa |
| Host/Isotype | Rabbit IgG |
| Antibody Type | Primary antibody |
| Storage | Store at 4°C short term. Aliquot and store at -20°C long term. Avoid freeze/thaw cycles. |
| Species Reactivity | Human, Mouse |
| Immunogen | This EphA2 antibody is generated from rabbits immunized with a KLH conjugated synthetic peptide between 30-60 amino acids from the N-terminal region of human EphA2. |
| Formulation | Purified antibody in PBS with 0.05% sodium azide. |
Application |
|
|---|---|
| WB | 1/1000 |
| IHC | 1/100-1/500 |
| FCM | 1/10-1/50 |
Product Image
-
Anti-EPHA2 Antibody (T45) at 1:1000 dilution + MCF-7 whole cell lysate Lysates/proteins at 20 µg per lane. Secondary Goat Anti-Rabbit IgG, (H+L), Peroxidase conjugated at 1/10000 dilution. Predicted band size : 108 kDa Blocking/Dilution buffer: 5% NFDM/TBST.

-
Western blot analysis of hEPHA2-T45 (Cat. #P33578) in MCF-7 cell line lysates (35ug/lane). EPHA2 (arrow) was detected using the purified Pab

-
Western blot analysis of hEPHA2-T45 (Cat. #P33578) in mouse NIH-3T3 cell line lysates (35ug/lane). EPHA2 (arrow) was detected using the purified Pab.

-
Flow cytometric analysis of NCI-H292 cells using EphA2 Antibody (N-term)(bottom histogram) compared to a negative control cell (top histogram). FITC-conjugated goat-anti-rabbit secondary antibodies were used for the analysis.

-
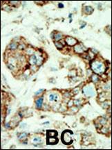
Formalin-fixed and paraffin-embedded human cancer tissue reacted with the primary antibody, which was peroxidase-conjugated to the secondary antibody, followed by AEC staining. This data demonstrates the use of this antibody for immunohistochemistry; clinical relevance has not been evaluated. BC = breast carcinoma; HC = hepatocarcinoma.






鄂公网安备42018502007531号

