Rabbit Polyclonal Antibody to RIPK2
货号:
P33581
别名:
Receptor-interacting serine/threonine-protein kinase 2, CARD-containing interleukin-1 beta-converting enzyme-associated kinase, CARD-containing IL-1 beta ICE-kinase, RIP-like-interacting CLARP kinase, Receptor-interacting protein 2, RIP-2, Tyrosine-protei
应用:
WB,IHC
反应种属:
Human, Mouse
抗体类型:
Primary antibody
Swissprot:
O43353
规格:
目录价
在线咨询
Description |
|---|
RIPK2 is a member of the receptor-interacting protein (RIP) family of serine/threonine protein kinases. The encoded protein contains a C-terminal recruitment domain (CARD), and is a component of signaling complexes in both the innate and adaptive immune pathways. It is a potent activator of NF-kappaB and inducer of apoptosis in response to various stimuli. |
Specification |
|
|---|---|
| Aliases | Receptor-interacting serine/threonine-protein kinase 2, CARD-containing interleukin-1 beta-converting enzyme-associated kinase, CARD-containing IL-1 beta ICE-kinase, RIP-like-interacting CLARP kinase, Receptor-interacting protein 2, RIP-2, Tyrosine-protein kinase RIPK2, RIPK2, CARDIAK, RICK, RIP2 |
| Entrez GeneID | 8767 |
| Swissprot | O43353 |
| WB Predicted band size | 61.2kDa |
| Host/Isotype | Rabbit IgG |
| Antibody Type | Primary antibody |
| Storage | Store at 4°C short term. Aliquot and store at -20°C long term. Avoid freeze/thaw cycles. |
| Species Reactivity | Human, Mouse |
| Immunogen | This RIPK2 antibody is generated from rabbits immunized with a KLH conjugated synthetic peptide between 458-488 amino acids from the C-terminal region of human RIPK2. |
| Formulation | Purified antibody in PBS with 0.05% sodium azide. |
Application |
|
|---|---|
| WB | 1/1000 |
| IHC | 1/100-1/500 |
Product Image
-
Anti-RIPK2 Antibody (D474) at 1:1000 dilution + Raji whole cell lysate Lysates/proteins at 20 µg per lane. Secondary Goat Anti-Rabbit IgG, (H+L), Peroxidase conjugated at 1/10000 dilution. Predicted band size : 61 kDa Blocking/Dilution buffer: 5% NFDM/TBST.

-
Western blot analysis of anti-RIPK2 Pab (Cat. #P33581) in mouse cerebellum tissue lysate. RIPK2 (arrow) was detected using purified Pab. Secondary HRP-anti-rabbit was used for signal visualization with chemiluminescence.

-
Western blot analysis of anti-RIPK2 Pab (Cat. #P33581) in Ramos cell line lysates (35ug/lane). RIPK2 (arrow) was detected using the purified Pab.

-
Formalin-fixed and paraffin-embedded human cancer tissue reacted with the primary antibody, which was peroxidase-conjugated to the secondary antibody, followed by AEC staining. This data demonstrates the use of this antibody for immunohistochemistry; clinical relevance has not been evaluated. BC = breast carcinoma; HC = hepatocarcinoma.

-
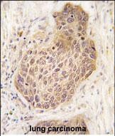
Formalin-fixed and paraffin-embedded human lung carcinoma tissue reacted with RIPK2 Antibody (C-term) (Cat.#P33581), which was peroxidase-conjugated to the secondary antibody, followed by DAB staining. This data demonstrates the use of this antibody for immunohistochemistry; clinical relevance has not been evaluated.






鄂公网安备42018502007531号

