Mouse Monoclonal Antibody to SUMO1
货号:
P33128
别名:
Small ubiquitin-related modifier 1, SUMO-1, GAP-modifying protein 1, GMP1, SMT3 homolog 3, Sentrin, Ubiquitin-homology domain protein PIC1, Ubiquitin-like protein SMT3C, Smt3C, Ubiquitin-like protein UBL1, SUMO1, SMT3C, SMT3H3, UBL1
应用:
IHC,IF,FCM
反应种属:
Human
抗体类型:
Primary antibody
Swissprot:
P63165
规格:
目录价
在线咨询
Description |
|---|
This gene encodes a protein that is a member of the SUMO (small ubiquitin-like modifier) protein family. It functions in a manner similar to ubiquitin in that it is bound to target proteins as part of a post-translational modification system. However, unlike ubiquitin which targets proteins for degradation, this protein is involved in a variety of cellular processes, such as nuclear transport, transcriptional regulation, apoptosis, and protein stability. It is not active until the last four amino acids of the carboxy-terminus have been cleaved off. Several pseudogenes have been reported for this gene. Alternate transcriptional splice variants encoding different isoforms have been characterized. |
Specification |
|
|---|---|
| Aliases | Small ubiquitin-related modifier 1, SUMO-1, GAP-modifying protein 1, GMP1, SMT3 homolog 3, Sentrin, Ubiquitin-homology domain protein PIC1, Ubiquitin-like protein SMT3C, Smt3C, Ubiquitin-like protein UBL1, SUMO1, SMT3C, SMT3H3, UBL1 |
| Entrez GeneID | 7341 |
| Swissprot | P63165 |
| WB Predicted band size | 11.6kDa |
| Host/Isotype | Mouse IgG1 |
| Antibody Type | Primary antibody |
| Storage | Store at 4°C short term. Aliquot and store at -20°C long term. Avoid freeze/thaw cycles. |
| Species Reactivity | Human |
| Immunogen | Purified recombinant GST-SUMO1 fusion protein was used as immunogen. |
| Formulation | Purified antibody in TBS with 0.05% sodium azide. |
Application |
|
|---|---|
| IHC | 1/100-1/500 |
| IF | 1/25 |
| FCM | 1/25 |
Product Image
-
All lanes : Anti-SUMO1 Antibody at 1:4000 dilution Lane 1: HL-60 whole cell lysates Lane 2: Hela whole cell lysates Lane 3: Jurkat whole cell lysates Lysates/proteins at 20 μg per lane. Secondary Goat Anti-mouse IgG, (H+L), Peroxidase conjugated at 1/10000 dilution Predicted band size : 12 kDa Blocking/Dilution buffer: 5% NFDM/TBST.

-
Immunofluorescent analysis of 4% paraformaldehyde-fixed, 0.1% Triton X-100 permeabilized HeLa (human cervical epithelial adenocarcinoma cell line) cells labeling SUMO1 with P33128 at 1/25 dilution, followed by Dylight® 488-conjugated goat anti-mouse IgG secondary antibody at 1/200 dilution (green). Immunofluorescence image showing nucleus and weak cytoplasm staining on HeLa cell line. Cytoplasmic actin is detected with Dylight® 554 Phalloidin at 1/100 dilution (red).

-
Overlay histogram showing Jurkat cells stained with P33128(green line). The cells were fixed with 2% paraformaldehyde (10 min) and then permeabilized with 90% methanol for 10 min. The cells were then icubated in 2% bovine serum albumin to block non-specific protein-protein interactions followed by the antibody (P33128, 1:25 dilution) for 60 min at 37ºC. The secondary antibody used was Goat-Anti-Mouse IgG, DyLight® 488 Conjugated Highly Cross-Adsorbed(OJ192088) at 1/200 dilution for 40 min at 37ºC. Isotype control antibody (blue line) was mouse IgG1 (1μg/1x10^6 cells) used under the same conditions. Acquisition of >10, 000 events was performed.

-
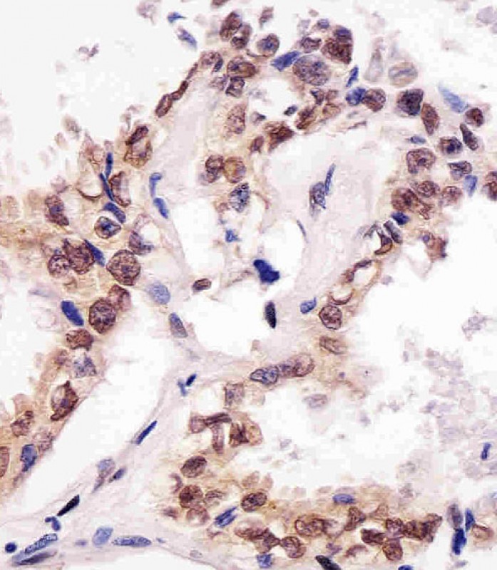
Immunohistochemical analysis of paraffin-embedded Human Lung adenocarcinoma section using Pink1(Cat#am1200a). am1200a was diluted at 1:50 dilution. A undiluted biotinylated goat polyvalent antibody was used as the secondary, followed by DAB staining.

-
P33128 staining SUMO1 in human lung adenocarcinoma tissue sections by Immunohistochemistry (IHC-P - paraformaldehyde-fixed, paraffin-embedded sections). Tissue was fixed with formaldehyde and blocked with 3% BSA for 0. 5 hour at room temperature; antigen retrieval was by heat mediation with a citrate buffer (pH6). Samples were incubated with primary antibody (1/25) for 1 hours at 37°C. A undiluted biotinylated goat polyvalent antibody was used as the secondary antibody.

-
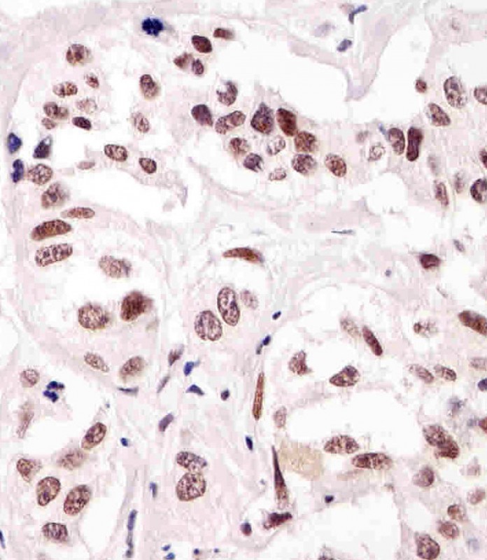
P33128 staining SUMO1 in human breast carcinoma tissue sections by Immunohistochemistry (IHC-P - paraformaldehyde-fixed, paraffin-embedded sections). Tissue was fixed with formaldehyde and blocked with 3% BSA for 0. 5 hour at room temperature; antigen retrieval was by heat mediation with a citrate buffer (pH6). Samples were incubated with primary antibody (1/25) for 1 hours at 37°C. A undiluted biotinylated goat polyvalent antibody was used as the secondary antibody.







鄂公网安备42018502007531号

