Rabbit Polyclonal Antibody to PCSK9
货号:
P32959
别名:
Proprotein convertase subtilisin/kexin type 9, 3421-, Neural apoptosis-regulated convertase 1, NARC-1, Proprotein convertase 9, PC9, Subtilisin/kexin-like protease PC9, PCSK9, NARC1
应用:
WB,IHC,FCM
反应种属:
Human
抗体类型:
Primary antibody
Swissprot:
Q8NBP7
规格:
目录价
在线咨询
Description |
|---|
PCSK9 is a proprotein convertase belonging to the proteinase K subfamily of the secretory subtilase family. This protein is synthesized as a soluble zymogen that undergoes autocatalytic intramolecular processing in the endoplasmic reticulum. The protein may function as a proprotein convertase. The protein plays a role in cholesterol homeostasis and may have a role in the differentiation of cortical neurons. |
Specification |
|
|---|---|
| Aliases | Proprotein convertase subtilisin/kexin type 9, 3421-, Neural apoptosis-regulated convertase 1, NARC-1, Proprotein convertase 9, PC9, Subtilisin/kexin-like protease PC9, PCSK9, NARC1 |
| Entrez GeneID | 255738 |
| Swissprot | Q8NBP7 |
| WB Predicted band size | 74.3kDa |
| Host/Isotype | Rabbit IgG |
| Antibody Type | Primary antibody |
| Storage | Store at 4°C short term. Aliquot and store at -20°C long term. Avoid freeze/thaw cycles. |
| Species Reactivity | Human |
| Immunogen | This PCSK9 antibody is generated from rabbits immunized with a KLH conjugated synthetic peptide between 479-508 amino acids from the C-terminal region of human PCSK9. |
| Formulation | Purified antibody in PBS with 0.05% sodium azide,1%BSA and 50% glycerol.prepared by Saturated Ammonium Sulfate (SAS) . |
Application |
|
|---|---|
| WB | 1/1000 |
| IHC | 1/100-1/500 |
| FCM | 1/10-1/50 |
Product Image
-
Western blot analysis of lysate from HepG2 cell line, using PCSK9 Antibody (C-term)(Cat. #P32959). P32959 was diluted at 1:1000. A goat anti-rabbit IgG H&L(HRP) at 1:10000 dilution was used as the secondary antibody. Lysate at 20ug.

-
Western blot analysis of lysate from Hela cell line, using PCSK9 Antibody (C-term)(Cat. #P32959). P32959 was diluted at 1:1000. A goat anti-rabbit IgG H&L(HRP) at 1:10000 dilution was used as the secondary antibody. Lysate at 35ug.

-
PCSK9 Antibody (C-term) (Cat. #P32959) flow cytometric analysis of Hela cells (right histogram) compared to a negative control cell (left histogram).FITC-conjugated goat-anti-rabbit secondary antibodies were used for the analysis.

-
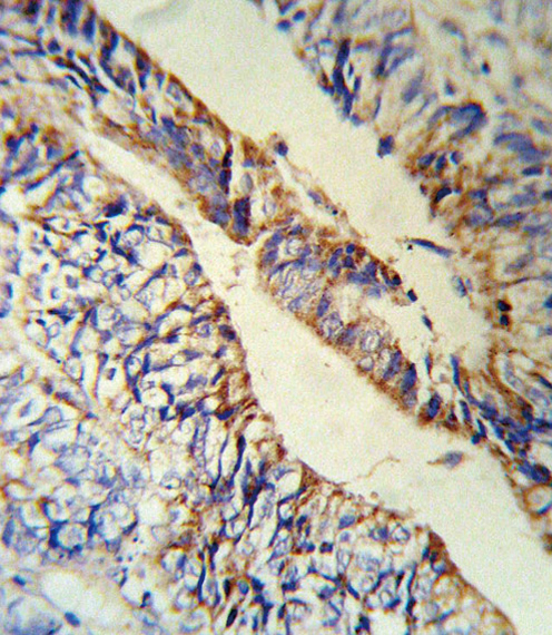
Immunohistochemical analysis of paraffin-embedded H.colon carcinoma section using PCSK9 Antibody (C-term)(Cat#P32959). P32959 was diluted at 1:100 dilution. A peroxidase-conjugated goat anti-rabbit IgG at 1:400 dilution was used as the secondary antibody, followed by DAB staining.

-
PCSK9 Antibody (C-term) (RB18880) IHC analysis in formalin fixed and paraffin embedded human Colon carcinoma followed by peroxidase conjugation of the secondary antibody and DAB staining. This data demonstrates the use of the PCSK9 Antibody (C-term) for immunohistochemistry. Clinical relevance has not been evaluated.






鄂公网安备42018502007531号

