Mouse Monoclonal Antibody to SOX2
货号:
P32871
别名:
Transcription factor SOX-2, SOX2
应用:
WB,IHC,IF,FCM
反应种属:
Human, Mouse
抗体类型:
Primary antibody
Swissprot:
P48431
规格:
目录价
在线咨询
Description |
|---|
This intronless gene encodes a member of the SRY-related HMG-box (SOX) family of transcription factors involved in the regulation of embryonic development and in the determination of cell fate. The product of this gene is required for stem-cell maintenance in the central nervous system, and also regulates gene expression in the stomach. Mutations in this gene have been associated with optic nerve hypoplasia and with syndromic microphthalmia, a severe form of structural eye malformation. This gene lies within an intron of another gene called SOX2 overlapping transcript (SOX2OT). |
Specification |
|
|---|---|
| Aliases | Transcription factor SOX-2, SOX2 |
| Entrez GeneID | 6657 |
| Swissprot | P48431 |
| WB Predicted band size | 34.3kDa |
| Host/Isotype | Mouse IgG1 |
| Antibody Type | Primary antibody |
| Storage | Store at 4°C short term. Aliquot and store at -20°C long term. Avoid freeze/thaw cycles. |
| Species Reactivity | Human, Mouse |
| Immunogen | SOX2 recombinant protein is used to produce this monoclonal antibody. |
| Formulation | Purified antibody in TBS with 0.05% sodium azide. |
Application |
|
|---|---|
| WB | 1/200-1/2000 |
| IHC | 1/100-1/500 |
| IF | 1/10-1/50 |
| FCM | 1/10-1/50 |
Product Image
-
Western blot analysis of lysate from SOX2 protein, using SOX2 Antibody(Cat. #P32871). P32871 was diluted at 1:4000. A goat anti-mouse IgG H&L(HRP) at 1:3000 dilution was used as the secondary antibody. Lysate at 20μg.

-
Western blot analysis of SOX2 Antibody (Cat.#P32871) by SOX2 recombinant protein. SOX2(arrow) was detected using the purified Mab.

-
Western blot analysis of SOX2 (arrow) using mouse monoclonal SOX2 antibody (Cat.#P32871). 293 cell lysates (2 μg/lane) either nontransfected (Lane 1) or transiently transfected with the SOX2 gene (Lane 2) (Origene Technologies)

-
Fluorescent image of A549 cell stained with SOX2 Antibody(Cat#P32871/SG110310AA).A549 cells were fixed with 4% PFA (20 min), permeabilized with Triton X-100 (0.1%, 10 min), then incubated with SOX2 primary antibody (1:25, 1 h at 37℃. For secondary antibody, Alexa Fluor® 488 conjugated donkey anti-mouse antibody (green) was used (1:400, 50 min at 37℃.Cytoplasmic actin was counterstained with Alexa Fluor® 555 (red) conjugated Phalloidin (7units/ml, 1 h at 37℃.SOX2 immunoreactivity is localized to Nucleus significantly.

-
Flow cytometric analysis of NCI-H460 cells using SOX2 Monoclonal Antibody (bottom histogram) compared to a negative control cell (top histogram). PE-conjugated goat-anti-mouse secondary antibodies were used for the analysis.

-
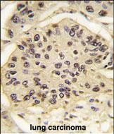
Formalin-fixed and paraffin-embedded human lung carcinoma tissue reacted with SOX2 Antibody (Cat.#P32871), which was peroxidase-conjugated to the secondary antibody, followed by DAB staining. This data demonstrates the use of this antibody for immunohistochemistry; clinical relevance has not been evaluated.

-
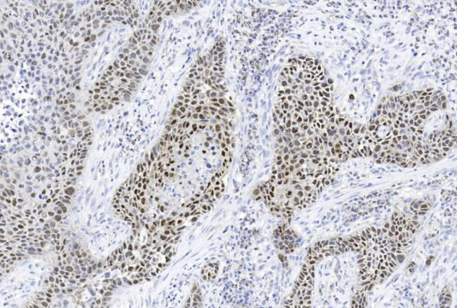
Immunohistochemical analysis of paraffin-embedded Human Lung squamous cell carcinoma section using Pink1(Cat#am2048a). am2048a was diluted at 1:100 dilution. A undiluted biotinylated goat polyvalent antibody was used as the secondary, followed by DAB staining.








鄂公网安备42018502007531号

