Mouse Monoclonal Antibody to RPS6 (N-term)
货号:
P32631
别名:
40S ribosomal protein S6, Phosphoprotein NP33, RPS6
应用:
WB,IHC,IF,FCM
反应种属:
Human, Mouse, Rat
抗体类型:
Primary antibody
Swissprot:
P62753
规格:
目录价
在线咨询
Description |
|---|
May play an important role in controlling cell growth and proliferation through the selective translation of particular classes of mRNA. |
Specification |
|
|---|---|
| Aliases | 40S ribosomal protein S6, Phosphoprotein NP33, RPS6 |
| Entrez GeneID | 6194 |
| Swissprot | P62753 |
| WB Predicted band size | 28.7kDa |
| Host/Isotype | Mouse IgG1 |
| Antibody Type | Primary antibody |
| Storage | Store at 4°C short term. Aliquot and store at -20°C long term. Avoid freeze/thaw cycles. |
| Species Reactivity | Human, Mouse, Rat |
| Immunogen | This RPS6 antibody is generated from a mouse immunized with RPS6 recombinant protein. |
Application |
|
|---|---|
| WB | 1/1000 |
| IHC | 1/100-1/500 |
| IF | 1/25 |
| FCM | 1/25 |
Product Image
-
Western blot analysis of lysates from 293, Hela, mouse NIH/3T3, rat PC-12 cell line and rat brain tissue lysate(from left to right), using RPS6 Antibody (N-term)(Cat. #P32631). P32631 was diluted at 1:2000 at each lane. A goat anti-mouse IgG H&L(HRP) at 1:3000 dilution was used as the secondary antibody. Lysates at 35μg per lane.

-
Fluorescent image of Hela cells stained with RPS6 Antibody (N-term)(Cat#P32631). P32631 was diluted at 1:25 dilution. An Alexa Fluor® 488-conjugated goat anti-mouse lgG at 1:400 dilution was used as the secondary antibody (green). Cytoplasmic actin was counterstained with Alexa Fluor® 555 conjugated with Phalloidin (red).

-
Flow cytometric analysis of Hela cells using RPS6 Antibody (N-term)(green, Cat#P32631) compared to an isotype control of mouse IgG1(blue). P32631 was diluted at 1:25 dilution. An Alexa Fluor® 488 goat anti-mouse lgG at 1:400 dilution was used as the secondary antibody.

-
Immunohistochemical analysis of paraffin-embedded H. brain section using RPS6 Antibody (N-term)(Cat#P32631). P32631 was diluted at 1:25 dilution. A peroxidase-conjugated goat anti-mouse IgG at 1:400 dilution was used as the secondary antibody, followed by DAB staining.

-
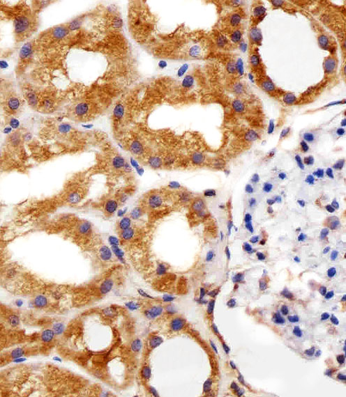
Immunohistochemical analysis of paraffin-embedded H. kidney section using RPS6 Antibody (N-term)(Cat#P32631). P32631 was diluted at 1:25 dilution. A peroxidase-conjugated goat anti-mouse IgG at 1:400 dilution was used as the secondary antibody, followed by DAB staining.

-
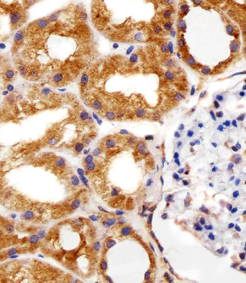
Immunohistochemical analysis of paraffin-embedded H. kidney section using RPS6 Antibody (N-term)(Cat#P32631). P32631 was diluted at 1:25 dilution. A peroxidase-conjugated goat anti-mouse IgG at 1:400 dilution was used as the secondary antibody, followed by DAB staining.

-
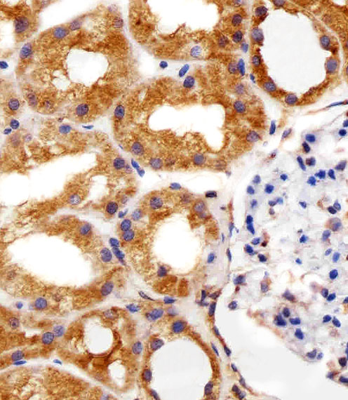
Immunohistochemical analysis of paraffin-embedded H. kidney section using RPS6 Antibody (N-term)(Cat#P32631). P32631 was diluted at 1:25 dilution. A peroxidase-conjugated goat anti-mouse IgG at 1:400 dilution was used as the secondary antibody, followed by DAB staining.








鄂公网安备42018502007531号

