Rabbit Polyclonal Antibody to SERPINC1
货号:
P32615
别名:
Antithrombin-III, ATIII, Serpin C1, SERPINC1, AT3
应用:
WB,IHC,IF,FCM
反应种属:
Human, Mouse
抗体类型:
Primary antibody
Swissprot:
P01008
规格:
目录价
在线咨询
Description |
|---|
SERPINC1 is a plasma protease inhibitor and a member of the serpin superfamily. This protein inhibits thrombin as well as other activated serine proteases of the coagulation system, and it regulates the blood coagulation cascade. The protein includes two functional domains: the heparin binding-domain at the N-terminus of the mature protein, and the reactive site domain at the C-terminus. The inhibitory activity is enhanced by the presence of heparin. |
Specification |
|
|---|---|
| Aliases | Antithrombin-III, ATIII, Serpin C1, SERPINC1, AT3 |
| Entrez GeneID | 462 |
| Swissprot | P01008 |
| WB Predicted band size | 52.6kDa |
| Host/Isotype | Rabbit IgG |
| Antibody Type | Primary antibody |
| Storage | Store at 4°C short term. Aliquot and store at -20°C long term. Avoid freeze/thaw cycles. |
| Species Reactivity | Human, Mouse |
| Immunogen | This SERPINC1 antibody is generated from rabbits immunized with a KLH conjugated synthetic peptide between 364-393 amino acids from the C-terminal region of human SERPINC1. |
| Formulation | Purified antibody in PBS with 0.05% sodium azide,1%BSA and 50% glycerol.prepared by Saturated Ammonium Sulfate (SAS) . |
Application |
|
|---|---|
| WB | 1/1000 |
| IHC | 1/100-1/500 |
| IF | 1/10-1/50 |
| FCM | 1/10-1/50 |
Product Image
-
Western blot analysis of lysate from human blood plasma tissue lysate, using SERPINC1 Antibody (C-term)(Cat. #P32615). P32615 was diluted at 1:1000 at each lane. A goat anti-rabbit IgG H&L(HRP) at 1:5000 dilution was used as the secondary antibody. Lysate at 35ug per lane.

-
Western blot analysis of SERPINC1 Antibody (C-term) (Cat. #P32615) in mouse liver tissue lysates (35ug/lane). SERPINC1 (arrow) was detected using the purified Pab.

-
Confocal immunofluorescent analysis of SERPINC1 Antibody (C-term)(Cat. #P32615) with 293 cell followed by Alexa Fluor® 488-conjugated goat anti-rabbit lgG (green). DAPI was used to stain the cell nuclear (blue).

-
SERPINC1 Antibody (C-term) (Cat. #P32615) flow cytometric analysis of HepG2 cells (right histogram) compared to a negative control cell (left histogram).FITC-conjugated goat-anti-rabbit secondary antibodies were used for the analysis.

-
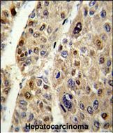
Formalin-fixed and paraffin-embedded human hepatocarcinoma reacted with SERPINC1 Antibody (C-term), which was peroxidase-conjugated to the secondary antibody, followed by DAB staining. This data demonstrates the use of this antibody for immunohistochemistry; clinical relevance has not been evaluated.






鄂公网安备42018502007531号

