Rabbit Polyclonal Antibody to ANR44
货号:
P30849
别名:
Serine/threonine-protein phosphatase 6 regulatory ankyrin repeat subunit B, PP6-ARS-B, Serine/threonine-protein phosphatase 6 regulatory subunit ARS-B, Ankyrin repeat domain-containing protein 44, ANKRD44
应用:
WB,IHC
反应种属:
Human
抗体类型:
Primary antibody
Swissprot:
Q8N8A2
规格:
目录价
在线咨询
Description |
|---|
Putative regulatory subunit of protein phospatase 6 (PP6) that may be involved in the recognition of phosphoprotein substrates. |
Specification |
|
|---|---|
| Aliases | Serine/threonine-protein phosphatase 6 regulatory ankyrin repeat subunit B, PP6-ARS-B, Serine/threonine-protein phosphatase 6 regulatory subunit ARS-B, Ankyrin repeat domain-containing protein 44, ANKRD44 |
| Entrez GeneID | 91526 |
| Swissprot | Q8N8A2 |
| WB Predicted band size | 107.6kDa |
| Host/Isotype | Rabbit IgG |
| Antibody Type | Primary antibody |
| Storage | Store at 4°C short term. Aliquot and store at -20°C long term. Avoid freeze/thaw cycles. |
| Species Reactivity | Human |
| Immunogen | This ANR44 antibody is generated from rabbits immunized with a KLH conjugated synthetic peptide between 481-510 amino acids from the Central region of human ANR44. |
| Formulation | Purified antibody in PBS with 0.05% sodium azide. |
Application |
|
|---|---|
| WB | 1/1000 |
| IHC | 1/100-1/500 |
Product Image
-
ANR44 Antibody (Center) (Cat. #P30849) western blot analysis in A375 cell line lysates (35ug/lane).This demonstrates the ANR44 antibody detected the ANR44 protein (arrow).

-
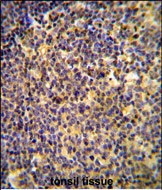
ANR44 Antibody (Center) (Cat. #P30849) immunohistochemistry analysis in formalin fixed and paraffin embedded human tonsil tissue followed by peroxidase conjugation of the secondary antibody and DAB staining. This data demonstrates the use of the ANR44 Antibody (Center) for immunohistochemistry. Clinical relevance has not been evaluated.



鄂公网安备42018502007531号

