Rabbit Polyclonal Antibody to LY6G6C
货号:
P30804
别名:
Lymphocyte antigen 6 complex locus protein G6c, LY6G6C, C6orf24, G6C, NG24
应用:
WB,IHC
反应种属:
Human
抗体类型:
Primary antibody
Swissprot:
O95867
规格:
目录价
在线咨询
Description |
|---|
LY6G6C belongs to a cluster of leukocyte antigen-6 (LY6) genes located in the major histocompatibility complex (MHC) class III region on chromosome 6. Members of the LY6 superfamily typically contain 70 to 80 amino acids, including 8 to 10 cysteines. Most LY6 proteins are attached to the cell surface by a glycosylphosphatidylinositol (GPI) anchor that is directly involved in signal transduction (Mallya et al., 2002 [PubMed 12079290]). |
Specification |
|
|---|---|
| Aliases | Lymphocyte antigen 6 complex locus protein G6c, LY6G6C, C6orf24, G6C, NG24 |
| Entrez GeneID | 80740 |
| Swissprot | O95867 |
| WB Predicted band size | 13.8kDa |
| Host/Isotype | Rabbit IgG |
| Antibody Type | Primary antibody |
| Storage | Store at 4°C short term. Aliquot and store at -20°C long term. Avoid freeze/thaw cycles. |
| Species Reactivity | Human |
| Immunogen | This LY6G6C antibody is generated from rabbits immunized with a KLH conjugated synthetic peptide between 62-90 amino acids from the C-terminal region of human LY6G6C. |
| Formulation | Purified antibody in PBS with 0.05% sodium azide. |
Application |
|
|---|---|
| WB | 1/1000 |
| IHC | 1/100-1/500 |
Product Image
-
LY6G6C Antibody (C-term) (Cat. #P30804) western blot analysis in NCI-H292 cell line lysates (35ug/lane).This demonstrates the LY6G6C antibody detected the LY6G6C protein (arrow).

-
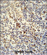
LY6G6C antibody (C-term) (Cat. #AP10539b) immunohistochemistry analysis in formalin fixed and paraffin embedded human lymph node followed by peroxidase conjugation of the secondary antibody and DAB staining. This data demonstrates the use of the LY6G6C antibody (C-term) for immunohistochemistry. Clinical relevance has not been evaluated.



鄂公网安备42018502007531号

