Rabbit Polyclonal Antibody to GTPBP2
货号:
P30744
别名:
GTP-binding protein 2, GTPBP2 {ECO:0000312|EMBL:CAC362691}
应用:
WB,IHC,FCM
反应种属:
Human, Mouse ,Hamster
抗体类型:
Primary antibody
Swissprot:
Q9BX10
规格:
目录价
在线咨询
Description |
|---|
GTP-binding proteins, or G proteins, constitute a superfamily capable of binding GTP or GDP. G proteins are activated by binding GTP and are inactivated by hydrolyzing GTP to GDP. This general mechanism enables G proteins to perform a wide range of biologic activities. |
Specification |
|
|---|---|
| Aliases | GTP-binding protein 2, GTPBP2 {ECO:0000312|EMBL:CAC362691} |
| Entrez GeneID | 54676 |
| Swissprot | Q9BX10 |
| WB Predicted band size | 65.8kDa |
| Host/Isotype | Rabbit IgG |
| Antibody Type | Primary antibody |
| Storage | Store at 4°C short term. Aliquot and store at -20°C long term. Avoid freeze/thaw cycles. |
| Species Reactivity | Human, Mouse ,Hamster |
| Immunogen | This GTPBP2 antibody is generated from rabbits immunized with a KLH conjugated synthetic peptide between 536-564 amino acids from the C-terminal region of human GTPBP2. |
| Formulation | Purified antibody in PBS with 0.05% sodium azide. |
Application |
|
|---|---|
| WB | 1/1000 |
| IHC | 1/100-1/500 |
| FCM | 1/10-1/50 |
Product Image
-
GTPBP2 Antibody (C-term) (Cat. #P30744) western blot analysis in CHO cell line lysates (35ug/lane).This demonstrates the GTPBP2 antibody detected the GTPBP2 protein (arrow).

-
GTPBP2 Antibody (C-term) (Cat. #P30744) western blot analysis in K562 cell line lysates (35ug/lane).This demonstrates the GTPBP2 antibody detected the GTPBP2 protein (arrow).

-
GTPBP2 Antibody (C-term) (Cat. #P30744) western blot analysis in mouse cerebellum tissue lysates (35ug/lane).This demonstrates the GTPBP2 antibody detected the GTPBP2 protein (arrow).

-
GTPBP2 Antibody (C-term) (Cat. #P30744) flow cytometric analysis of K562 cells (right histogram) compared to a negative control cell (left histogram).FITC-conjugated goat-anti-rabbit secondary antibodies were used for the analysis.

-
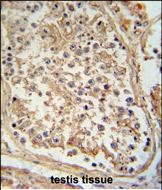
GTPBP2 antibody (C-term) (Cat. #P30744) immunohistochemistry analysis in formalin fixed and paraffin embedded human testis tissue followed by peroxidase conjugation of the secondary antibody and DAB staining. This data demonstrates the use of the GTPBP2 antibody (C-term) for immunohistochemistry. Clinical relevance has not been evaluated.






鄂公网安备42018502007531号

