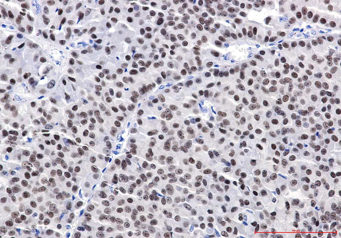
Rabbit Polyclonal Antibody to Estrogen Receptor alpha
货号:
P23478
别名:
ESR1; Era; Eralpha; Estrogen receptor; Estradiol receptor; ER-alpha; Estrogen receptor 1; NR3A1; ER; ESR; ESRA; Estrogen receptor alpha
应用:
WB,IP,IHC,FCM
反应种属:
Human
抗体类型:
Primary antibody
Swissprot:
P03372
规格:
目录价
在线咨询
Description |
|---|
ER (estrogen receptor 1) a member of the steroid receptor superfamily, contains highly conserved DNA binding (DBD) and ligand binding domains (LBD). Through its estrogen-independent and estrogen-dependent activation domains (AF-1 and AF-2, respectively), ER regulates transcription by recruiting coactivator proteins and interacting with general transcriptional machinery. Phosphorylation provides an important mechanism to regulate ER activity. ER is phosphorylated on multiple sites. |
Specification |
|
|---|---|
| Aliases | ESR1; Era; Eralpha; Estrogen receptor; Estradiol receptor; ER-alpha; Estrogen receptor 1; NR3A1; ER; ESR; ESRA; Estrogen receptor alpha |
| Entrez GeneID | 2099 |
| Swissprot | P03372 |
| WB Predicted band size | Calculated MW: 66 kDa; Observed MW: 66 kDa |
| Host/Isotype | Rabbit IgG |
| Antibody Type | Primary antibody |
| Storage | Store at 4°C short term. Aliquot and store at -20°C long term. Avoid freeze/thaw cycles. |
| Species Reactivity | Human |
| Immunogen | A synthetic peptide of human Estrogen Receptor alpha |
| Formulation | Purified antibody in TBS with 0.05% sodium azide,0.05%BSA and 50% glycerol. |
Application |
|
|---|---|
| WB | 1/500-1/1000 |
| IP | 1/10-1/20 |
| IHC | 1/50-1/100 |
| FCM | 1/50-1/100 |




鄂公网安备42018502007531号

