Rabbit Polyclonal Antibody to TNF alpha
货号:
P23433
别名:
TNF; TNFA; TNFSF2; Tumor necrosis factor; Cachectin; TNF-alpha; Tumor necrosis factor ligand superfamily member 2; TNF-a
应用:
WB,IHC
反应种属:
Human,Mouse
抗体类型:
Primary antibody
Swissprot:
P01375
规格:
目录价
在线咨询
Description |
|---|
This gene encodes a multifunctional proinflammatory cytokine that belongs to the tumor necrosis factor (TNF) superfamily. This cytokine is mainly secreted by macrophages. It can bind to, and thus functions through its receptors TNFRSF1A/TNFR1 and TNFRSF1B/TNFBR. This cytokine is involved in the regulation of a wide spectrum of biological processes including cell proliferation, differentiation, apoptosis, lipid metabolism, and coagulation. This cytokine has been implicated in a variety of diseases, including autoimmune diseases, insulin resistance, and cancer. Knockout studies in mice also suggested the neuroprotective function of this cytokine. |
Specification |
|
|---|---|
| Aliases | TNF; TNFA; TNFSF2; Tumor necrosis factor; Cachectin; TNF-alpha; Tumor necrosis factor ligand superfamily member 2; TNF-a |
| Entrez GeneID | 7124 |
| Swissprot | P01375 |
| WB Predicted band size | Calculated MW: 26 kDa; Observed MW: 26 kDa |
| Host/Isotype | Rabbit IgG |
| Antibody Type | Primary antibody |
| Storage | Store at 4°C short term. Aliquot and store at -20°C long term. Avoid freeze/thaw cycles. |
| Species Reactivity | Human,Mouse |
| Immunogen | The antiserum was produced against synthesized peptide derived from the Internal region of human TNF. AA range:151-200 |
| Formulation | Purified antibody in PBS with 0.05% sodium azide,0.5%BSA and 50% glycerol. |
Application |
|
|---|---|
| WB | 1/500-1/1000 |
| IHC | 1/50-1/100 |
| ELISA | 1/10000 |
Product Image
-
Western blot analysis of TNF alpha in mouse liver lysates using TNF alpha antibody.

-
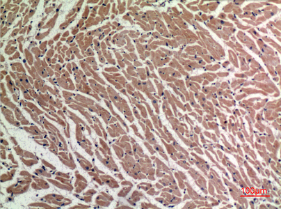
Immunohistochemistry analysis of paraffin-embedded Human heart using TNF alpha antibody.High-pressure and temperature Sodium Citrate pH 6.0 was used for antigen retrieval.

-
Immunohistochemistry analysis of paraffin-embedded Human heart using TNF alpha antibody. High-pressure and temperature Sodium Citrate pH 6.0 was used for antigen retrieval.

-
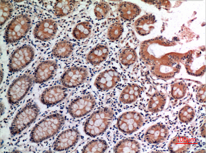
Immunohistochemistry analysis of paraffin-embedded Human colon using TNF alpha antibody.High-pressure and temperature Sodium Citrate pH 6.0 was used for antigen retrieval.

-
Immunohistochemistry analysis of paraffin-embedded Human colon using TNF alpha antibody.High-pressure and temperature Sodium Citrate pH 6.0 was used for antigen retrieval.

-
Immunohistochemistry analysis of paraffin-embedded Human heart using TNF alpha antibody.High-pressure and temperature Sodium Citrate pH 6.0 was used for antigen retrieval.







鄂公网安备42018502007531号

