Rabbit Polyclonal Antibody to BMP8A
货号:
P23227
别名:
BMP8A; Bone morphogenetic protein 8A; BMP-8A
应用:
WB,IHC
反应种属:
Human,Mouse,Rat
抗体类型:
Primary antibody
Swissprot:
Q7Z5Y6
规格:
目录价
在线咨询
Description |
|---|
Induces cartilage and bone formation. |
Specification |
|
|---|---|
| Aliases | BMP8A; Bone morphogenetic protein 8A; BMP-8A |
| Entrez GeneID | 353500 |
| Swissprot | Q7Z5Y6 |
| WB Predicted band size | Calculated MW: 45 kDa; Observed MW: 45 kDa |
| Host/Isotype | Rabbit IgG |
| Antibody Type | Primary antibody |
| Storage | Store at 4°C short term. Aliquot and store at -20°C long term. Avoid freeze/thaw cycles. |
| Species Reactivity | Human,Mouse,Rat |
| Immunogen | The antiserum was produced against synthesized peptide derived from the Internal region of human BMP8A. AA range:241-290 |
| Formulation | Purified antibody in PBS with 0.05% sodium azide,0.5%BSA and 50% glycerol. |
Application |
|
|---|---|
| WB | 1/500-1/1000 |
| IHC | 1/50-1/100 |
| ELISA | 1/10000 |
Product Image
-
Western blot analysis of BMP8A in Jurkat lysates using BMP8A antibody.

-
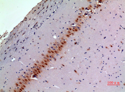
Immunohistochemistry analysis of paraffin-embedded rat brain using BMP8A antibody.High-pressure and temperature Sodium Citrate pH 6.0 was used for antigen retrieval.

-
Immunohistochemistry analysis of paraffin-embedded rat brain using BMP8A antibody. High-pressure and temperature Sodium Citrate pH 6.0 was used for antigen retrieval.

-
Immunohistochemistry analysis of paraffin-embedded rat brain using BMP8A antibody.High-pressure and temperature Sodium Citrate pH 6.0 was used for antigen retrieval.

-
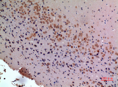
Immunohistochemistry analysis of paraffin-embedded mouse brain using BMP8A antibody.High-pressure and temperature Sodium Citrate pH 6.0 was used for antigen retrieval.

-
Immunohistochemistry analysis of paraffin-embedded mouse brain using BMP8A antibody.High-pressure and temperature Sodium Citrate pH 6.0 was used for antigen retrieval.







鄂公网安备42018502007531号

