Rabbit Polyclonal Antibody to TLE1/2/3/4
货号:
P23232
别名:
similar to transducin-like enhancer of split 1/2/3/4
应用:
WB
反应种属:
Human,Mouse,Rat
抗体类型:
Primary antibody
Swissprot:
Q04724/Q04725/Q04726/Q04727
规格:
目录价
在线咨询
Description |
|---|
Transcriptional corepressor that binds to a number of transcription factors. Inhibits NF-kappa-B-regulated gene expression. Inhibits the transcriptional activation mediated by FOXA2, and by CTNNB1 and TCF family members in Wnt signaling. |
Specification |
|
|---|---|
| Aliases | similar to transducin-like enhancer of split 1/2/3/4 |
| Entrez GeneID | 7088/7089/7090/7091 |
| Swissprot | Q04724/Q04725/Q04726/Q04727 |
| WB Predicted band size | Calculated MW: 83 kDa; Observed MW: 90 kDa |
| Host/Isotype | Rabbit IgG |
| Antibody Type | Primary antibody |
| Storage | Store at 4°C short term. Aliquot and store at -20°C long term. Avoid freeze/thaw cycles. |
| Species Reactivity | Human,Mouse,Rat |
| Immunogen | The antiserum was produced against synthesized peptide derived from the C-terminal region of human TLE1/TLE2/TLE3/TLE4. AA range:721-770 |
| Formulation | Purified antibody in PBS with 0.05% sodium azide,0.5%BSA and 50% glycerol. |
Application |
|
|---|---|
| WB | 1/500-1/1000 |
| ELISA | 1/10000 |
Product Image
-
Western blot analysis of TLE1/2/3/4 in A549, 3T3, mouse liver, SH-SY5Y, K562 , Hela , 293T lysates using TLE1/2/3/4 antibody.

-
Immunohistochemistry analysis of paraffin-embedded Human breastcancer using TLE1/2/3/4 antibody.High-pressure and temperature Sodium Citrate pH 6.0 was used for antigen retrieval.

-
Immunohistochemistry analysis of paraffin-embedded Human breastcancer using TLE1/2/3/4 antibody. High-pressure and temperature Sodium Citrate pH 6.0 was used for antigen retrieval.

-
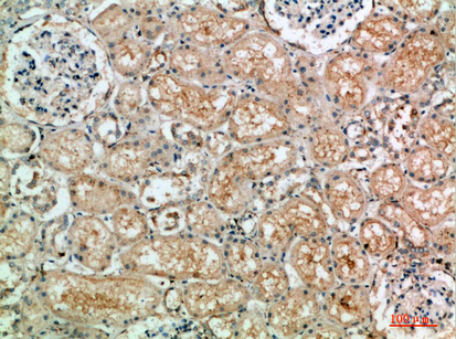
Immunohistochemistry analysis of paraffin-embedded Human kidney using TLE1/2/3/4 antibody.High-pressure and temperature Sodium Citrate pH 6.0 was used for antigen retrieval.

-
Immunohistochemistry analysis of paraffin-embedded Human kidney using TLE1/2/3/4 antibody.High-pressure and temperature Sodium Citrate pH 6.0 was used for antigen retrieval.






鄂公网安备42018502007531号

