Rabbit Polyclonal Antibody to JAK3
货号:
P23220
别名:
JAK3; Tyrosine-protein kinase JAK3; Janus kinase 3; JAK-3; Leukocyte janus kinase; L-JAK
应用:
WB,IHC,IF
反应种属:
Human,Mouse,Rat
抗体类型:
Primary antibody
Swissprot:
P52333
规格:
目录价
在线咨询
Description |
|---|
Tyrosine kinase of the non-receptor type, involved in the interleukin-2 and interleukin-4 signaling pathway. Phosphorylates STAT6, IRS1, IRS2 and PI3K. |
Specification |
|
|---|---|
| Aliases | JAK3; Tyrosine-protein kinase JAK3; Janus kinase 3; JAK-3; Leukocyte janus kinase; L-JAK |
| Entrez GeneID | 3718 |
| Swissprot | P52333 |
| WB Predicted band size | Calculated MW: 125 kDa; Observed MW: 125 kDa |
| Host/Isotype | Rabbit IgG |
| Antibody Type | Primary antibody |
| Storage | Store at 4°C short term. Aliquot and store at -20°C long term. Avoid freeze/thaw cycles. |
| Species Reactivity | Human,Mouse,Rat |
| Immunogen | The antiserum was produced against synthesized peptide derived from human JAK3. AA range:751-800 |
| Formulation | Purified antibody in PBS with 0.05% sodium azide,0.5%BSA and 50% glycerol. |
Application |
|
|---|---|
| WB | 1/500-1/1000 |
| IHC | 1/50-1/100 |
| IF | 1/50-1/200 |
| ELISA | 1/10000 |
Product Image
-
Immunofluorescence analysis of JAK3 in Human uterus tissue using JAK3 antibody(red),and DAPI (blue).

-
Immunofluorescence analysis of JAK3 in rat kidney using JAK3 antibody(red),and DAPI (blue).

-
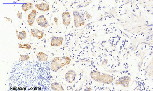
Immunohistochemistry analysis of paraffin-embedded Human stomach cancer tissue using JAK3 antibody.High-pressure and temperature Sodium Citrate pH 6.0 was used for antigen retrieval.Negative control was used by secondary antibody only.

-
Immunohistochemistry analysis of paraffin-embedded Human colon tissue using JAK3 antibody. High-pressure and temperature Sodium Citrate pH 6.0 was used for antigen retrieval.Negative control was used by secondary antibody only.

-
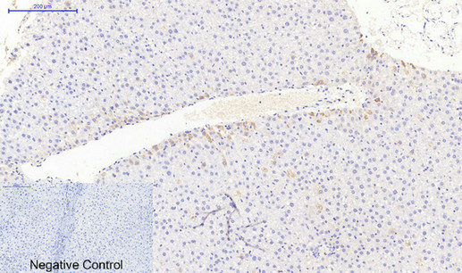
Immunohistochemistry analysis of paraffin-embedded Human liver tissue using JAK3 antibody.High-pressure and temperature Sodium Citrate pH 6.0 was used for antigen retrieval.Negative control was used by secondary antibody only.

-
Immunohistochemistry analysis of paraffin-embedded Human stomach tissue using JAK3 antibody.High-pressure and temperature Sodium Citrate pH 6.0 was used for antigen retrieval.Negative control was used by secondary antibody only.







鄂公网安备42018502007531号

