Rabbit Polyclonal Antibody to TGF beta 2
货号:
P23235
别名:
Transforming growth factor beta-2; TGF-beta-2; BSC-1 cell growth inhibitor; Cetermin; Glioblastoma-derived T-cell suppressor factor; G-TSF; Polyergin
应用:
WB,IHC
反应种属:
Human,Mouse,Rat
抗体类型:
Primary antibody
Swissprot:
P61812
规格:
目录价
在线咨询
Description |
|---|
Transforming growth factor beta-2 proprotein: Precursor of the Latency-associated peptide (LAP) and Transforming growth factor beta-2 (TGF-beta-2) chains, which constitute the regulatory and active subunit of TGF-beta-2, respectively. |
Specification |
|
|---|---|
| Aliases | Transforming growth factor beta-2; TGF-beta-2; BSC-1 cell growth inhibitor; Cetermin; Glioblastoma-derived T-cell suppressor factor; G-TSF; Polyergin |
| Entrez GeneID | 7042 |
| Swissprot | P61812 |
| WB Predicted band size | Calculated MW: 48 kDa; Observed MW: 47,12 kDa |
| Host/Isotype | Rabbit IgG |
| Antibody Type | Primary antibody |
| Storage | Store at 4°C short term. Aliquot and store at -20°C long term. Avoid freeze/thaw cycles. |
| Species Reactivity | Human,Mouse,Rat |
| Immunogen | Synthetic peptide from human protein at AA range: 61-110 |
| Formulation | Purified antibody in PBS with 0.05% sodium azide,0.5%BSA and 50% glycerol. |
Application |
|
|---|---|
| WB | 1/500-1/1000 |
| IHC | 1/50-1/100 |
| ELISA | 1/10000 |
Product Image
-
Western blot analysis of TGF beta 2 in mouse kidney, 293T, mouse lung lysates using TGF beta 2 antibody.

-
Immunohistochemistry analysis of paraffin-embedded Human kidney using TGF beta 2 antibody.High-pressure and temperature Sodium Citrate pH 6.0 was used for antigen retrieval.

-
Immunohistochemistry analysis of paraffin-embedded Human kidney using TGF beta 2 antibody. High-pressure and temperature Sodium Citrate pH 6.0 was used for antigen retrieval.

-
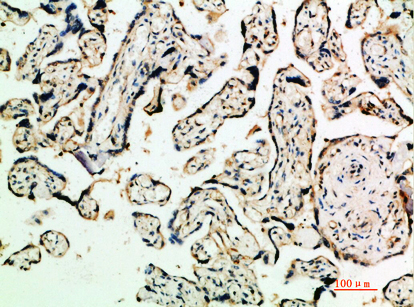
Immunohistochemistry analysis of paraffin-embedded Human placenta using TGF beta 2 antibody.High-pressure and temperature Sodium Citrate pH 6.0 was used for antigen retrieval.

-
Immunohistochemistry analysis of paraffin-embedded Human placenta using TGF beta 2 antibody.High-pressure and temperature Sodium Citrate pH 6.0 was used for antigen retrieval.






鄂公网安备42018502007531号

