Rabbit Polyclonal Antibody to NOX2
货号:
P23222
别名:
CYBB; NOX2; Cytochrome b-245 heavy chain; CGD91-phox; Cytochrome b(558) subunit beta; Cytochrome b558 subunit beta; Heme-binding membrane glycoprotein gp91phox; NADPH oxidase 2Neutrophil cytochrome b 91 kDa polypeptide; Superoxide-generating NADPH oxidase
应用:
WB,IHC
反应种属:
Human
抗体类型:
Primary antibody
Swissprot:
P04839
规格:
目录价
在线咨询
Description |
|---|
The superoxide-generating NADPH oxidase complex expresses in phagocytes, neuroepithelial bodies, vascular smooth muscle cells, and endothelial cells. It is the terminal component of a respiratory chain that transfers single electrons from cytoplasmic NADPH across the plasma membrane to molecular oxygen on the exterior. |
Specification |
|
|---|---|
| Aliases | CYBB; NOX2; Cytochrome b-245 heavy chain; CGD91-phox; Cytochrome b(558) subunit beta; Cytochrome b558 subunit beta; Heme-binding membrane glycoprotein gp91phox; NADPH oxidase 2Neutrophil cytochrome b 91 kDa polypeptide; Superoxide-generating NADPH oxidase heavy chain subunit; gp91-1; gp91-phox; p22 phagocyte B-cytochrome |
| Entrez GeneID | 1536 |
| Swissprot | P04839 |
| WB Predicted band size | Calculated MW: 65 kDa; Observed MW: 70 kDa |
| Host/Isotype | Rabbit IgG |
| Antibody Type | Primary antibody |
| Storage | Store at 4°C short term. Aliquot and store at -20°C long term. Avoid freeze/thaw cycles. |
| Species Reactivity | Human |
| Immunogen | The antiserum was produced against synthesized peptide derived from the Internal region of human CYBB. AA range:111-160 |
| Formulation | Purified antibody in PBS with 0.05% sodium azide,0.5%BSA and 50% glycerol. |
Application |
|
|---|---|
| WB | 1/500-1/1000 |
| IHC | 1/50-1/100 |
| ELISA | 1/10000 |
Product Image
-
Western blot analysis of NOX2 in K562 lysates using NOX2 antibody.

-
Western blot analysis of NOX2 in HEPG2 lysates using NOX2 antibody.

-
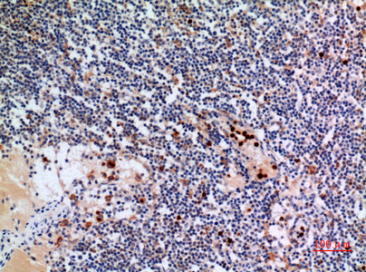
Immunohistochemistry analysis of paraffin-embedded Human lymphgl using NOX2 antibody. High-pressure and temperature Sodium Citrate pH 6.0 was used for antigen retrieval.

-
Immunohistochemistry analysis of paraffin-embedded Human lymphgl using NOX2 antibody.High-pressure and temperature Sodium Citrate pH 6.0 was used for antigen retrieval.

-
Immunohistochemistry analysis of paraffin-embedded Human lymphgl using NOX2 antibody.High-pressure and temperature Sodium Citrate pH 6.0 was used for antigen retrieval.

-
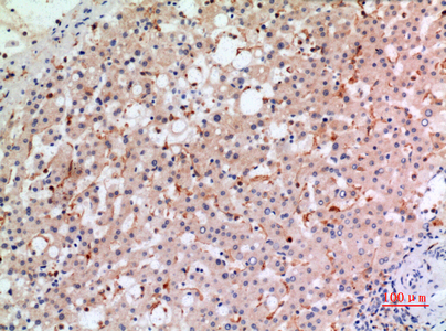
Immunohistochemistry analysis of paraffin-embedded Human liver using NOX2 antibody.High-pressure and temperature Sodium Citrate pH 6.0 was used for antigen retrieval.







鄂公网安备42018502007531号

