Rabbit Polyclonal Antibody to CD62L
货号:
P23223
别名:
SELL; LNHR; LYAM1; L-selectin; CD62 antigen-like family member L; Leukocyte adhesion molecule 1; LAM-1; Leukocyte surface antigen Leu-8; Leukocyte-endothelial cell adhesion molecule 1; LECAM1; Lymph node homing receptor; TQ1; gp90-MEL; CD62L
应用:
WB,IHC
反应种属:
Human,Mouse,Rat
抗体类型:
Primary antibody
Swissprot:
P14151
规格:
目录价
在线咨询
Description |
|---|
This gene encodes a cell surface adhesion molecule that belongs to a family of adhesion/homing receptors. The encoded protein contains a C-type lectin-like domain, a calcium-binding epidermal growth factor-like domain, and two short complement-like repeats. The gene product is required for binding and subsequent rolling of leucocytes on endothelial cells, facilitating their migration into secondary lymphoid organs and inflammation sites. Single-nucleotide polymorphisms in this gene have been associated with various diseases including immunoglobulin A nephropathy. Alternatively spliced transcript variants have been found for this gene. |
Specification |
|
|---|---|
| Aliases | SELL; LNHR; LYAM1; L-selectin; CD62 antigen-like family member L; Leukocyte adhesion molecule 1; LAM-1; Leukocyte surface antigen Leu-8; Leukocyte-endothelial cell adhesion molecule 1; LECAM1; Lymph node homing receptor; TQ1; gp90-MEL; CD62L |
| Entrez GeneID | 6402 |
| Swissprot | P14151 |
| WB Predicted band size | Calculated MW: 42 kDa; Observed MW: 42 kDa |
| Host/Isotype | Rabbit IgG |
| Antibody Type | Primary antibody |
| Storage | Store at 4°C short term. Aliquot and store at -20°C long term. Avoid freeze/thaw cycles. |
| Species Reactivity | Human,Mouse,Rat |
| Immunogen | Synthesized peptide derived from L-Selectin . at AA range: 60-140 |
| Formulation | Purified antibody in PBS with 0.05% sodium azide,0.5%BSA and 50% glycerol. |
Application |
|
|---|---|
| WB | 1/500-1/1000 |
| IHC | 1/50-1/100 |
| ELISA | 1/10000 |
Product Image
-
Western blot analysis of CD62L in K562 lysates using CD62L antibody.

-
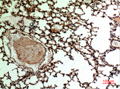
Immunohistochemistry analysis of paraffin-embedded rat lung using CD62L antibody.High-pressure and temperature Sodium Citrate pH 6.0 was used for antigen retrieval.

-
Immunohistochemistry analysis of paraffin-embedded rat lung using CD62L antibody. High-pressure and temperature Sodium Citrate pH 6.0 was used for antigen retrieval.

-
Immunohistochemistry analysis of paraffin-embedded rat lung using CD62L antibody.High-pressure and temperature Sodium Citrate pH 6.0 was used for antigen retrieval.

-
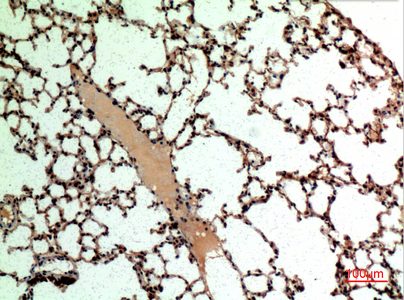
Immunohistochemistry analysis of paraffin-embedded mouse lung using CD62L antibody.High-pressure and temperature Sodium Citrate pH 6.0 was used for antigen retrieval.

-
Immunohistochemistry analysis of paraffin-embedded mouse lung using CD62L antibody.High-pressure and temperature Sodium Citrate pH 6.0 was used for antigen retrieval.







鄂公网安备42018502007531号

