Rabbit Polyclonal Antibody to CD241
货号:
P23225
别名:
RHAG; RH50; Ammonium transporter Rh type A; Erythrocyte membrane glycoprotein Rh50; Erythrocyte plasma membrane 50 kDa glycoprotein; Rh50A; Rhesus blood group family type A glycoprotein; Rh family type A glycoprotein; Rh type A glycoprotein; Rhesus blood
应用:
WB,IHC
反应种属:
Human
抗体类型:
Primary antibody
Swissprot:
Q02094
规格:
目录价
在线咨询
Description |
|---|
Associated with rhesus blood group antigen expression. |
Specification |
|
|---|---|
| Aliases | RHAG; RH50; Ammonium transporter Rh type A; Erythrocyte membrane glycoprotein Rh50; Erythrocyte plasma membrane 50 kDa glycoprotein; Rh50A; Rhesus blood group family type A glycoprotein; Rh family type A glycoprotein; Rh type A glycoprotein; Rhesus blood group-associated ammonia channel; Rhesus blood group-associated glycoprotein; CD241 |
| Entrez GeneID | 6005 |
| Swissprot | Q02094 |
| WB Predicted band size | Calculated MW: 44 kDa; Observed MW: 44 kDa |
| Host/Isotype | Rabbit IgG |
| Antibody Type | Primary antibody |
| Storage | Store at 4°C short term. Aliquot and store at -20°C long term. Avoid freeze/thaw cycles. |
| Species Reactivity | Human |
| Immunogen | The antiserum was produced against synthesized peptide derived from the N-terminal region of human RHAG. AA range:1-50 |
| Formulation | Purified antibody in PBS with 0.05% sodium azide,0.5%BSA and 50% glycerol. |
Application |
|
|---|---|
| WB | 1/500-1/1000 |
| IHC | 1/50-1/100 |
| ELISA | 1/10000 |
Product Image
-
Western blot analysis of CD241 in K562 lysates using CD241 antibody.

-
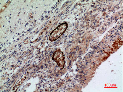
Immunohistochemistry analysis of paraffin-embedded Human liver using CD241 antibody.High-pressure and temperature Sodium Citrate pH 6.0 was used for antigen retrieval.

-
Immunohistochemistry analysis of paraffin-embedded Human liver using CD241 antibody. High-pressure and temperature Sodium Citrate pH 6.0 was used for antigen retrieval.

-
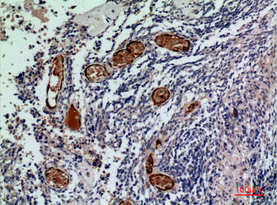
Immunohistochemistry analysis of paraffin-embedded Human brain using CD241 antibody.High-pressure and temperature Sodium Citrate pH 6.0 was used for antigen retrieval.

-
Immunohistochemistry analysis of paraffin-embedded Human brain using CD241 antibody.High-pressure and temperature Sodium Citrate pH 6.0 was used for antigen retrieval.

-
Immunohistochemistry analysis of paraffin-embedded Human brain using CD241 antibody.High-pressure and temperature Sodium Citrate pH 6.0 was used for antigen retrieval.







鄂公网安备42018502007531号

