Mouse Monoclonal Antibody to DDIT3
货号:
P20687
别名:
DDIT3; CHOP; CHOP10; GADD153; DNA damage-inducible transcript 3 protein; DDIT-3; C/EBP-homologous protein; CHOP; C/EBP-homologous protein 10; CHOP-10; Growth arrest and DNA damage-inducible protein GADD153
应用:
WB,IHC,IF
反应种属:
Human,Mouse,Rat
抗体类型:
Primary antibody
Swissprot:
P35638
规格:
目录价
在线咨询
Description |
|---|
Inhibits the DNA-binding activity of C/EBP and LAP by forming heterodimers that cannot bind DNA. |
Specification |
|
|---|---|
| Aliases | DDIT3; CHOP; CHOP10; GADD153; DNA damage-inducible transcript 3 protein; DDIT-3; C/EBP-homologous protein; CHOP; C/EBP-homologous protein 10; CHOP-10; Growth arrest and DNA damage-inducible protein GADD153 |
| Entrez GeneID | 1649 |
| Swissprot | P35638 |
| clone | 8D12 |
| WB Predicted band size | Calculated MW: 19 kDa; Observed MW: 27 kDa |
| Host/Isotype | Mouse IgG1 |
| Antibody Type | Primary antibody |
| Storage | Store at 4°C short term. Aliquot and store at -20°C long term. Avoid freeze/thaw cycles. |
| Species Reactivity | Human,Mouse,Rat |
| Immunogen | Synthetic peptide conjugated to KLH. |
| Formulation | Purified antibody in PBS with 0.05% sodium azide,0.5%BSA and 50% glycerol. |
Application |
|
|---|---|
| WB | 1/500-1/1000 |
| IHC | 1/50-1/100 |
| IF | 1/50-1/200 |
Product Image
-
Western blot analysis of DDIT3 in mouse Liver lysates using DDIT3 antibody.

-
Immunofluorescence analysis of DDIT3 in mouse brain tissue using DDIT3 antibody(red),and DAPI (blue).

-
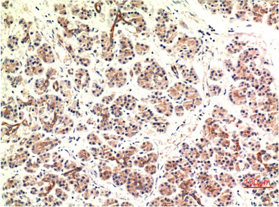
Immunohistochemistry analysis of paraffin-embedded Human stomach tissue using DDIT3 antibody.High-pressure and temperature Sodium Citrate pH 6.0 was used for antigen retrieval.Negative control was used by secondary antibody only.

-
Immunohistochemistry analysis of paraffin-embedded Human Stomach Carcinoma Tissue using CHOP antibody. High-pressure and temperature Sodium Citrate pH 6.0 was used for antigen retrieval.

-
Immunohistochemistry analysis of paraffin-embedded Human Pancreas Carcinoma Tissue using CHOP antibody.High-pressure and temperature Sodium Citrate pH 6.0 was used for antigen retrieval.






鄂公网安备42018502007531号

