Mouse Monoclonal Antibody to HP1 gamma
货号:
P20707
别名:
CBX3; Chromobox protein homolog 3; HECH; Heterochromatin protein 1 homolog gamma; HP1 gamma; Modifier 2 protein
应用:
WB,IP,IHC,IF
反应种属:
Human,Mouse,Rat,Monkey,Hamster
抗体类型:
Primary antibody
Swissprot:
Q13185
规格:
目录价
在线咨询
Description |
|---|
Recognizes and binds histone H3 tails methylated at 'Lys-9', leading to epigenetic repression. May contribute to the association of the heterochromatin with the inner nuclear membrane through its interaction with lamin B receptor (LBR). Involved in the formation of functional kinetochore through interaction with MIS12 complex proteins. |
Specification |
|
|---|---|
| Aliases | CBX3; Chromobox protein homolog 3; HECH; Heterochromatin protein 1 homolog gamma; HP1 gamma; Modifier 2 protein |
| Entrez GeneID | 11335 |
| Swissprot | Q13185 |
| clone | 5G5 |
| WB Predicted band size | Calculated MW: 21 kDa; Observed MW: 21 kDa |
| Host/Isotype | Mouse IgG1 |
| Antibody Type | Primary antibody |
| Storage | Store at 4°C short term. Aliquot and store at -20°C long term. Avoid freeze/thaw cycles. |
| Species Reactivity | Human,Mouse,Rat,Monkey,Hamster |
| Immunogen | Purified recombinant human HP1-gamma protein fragments expressed in E.coli. |
| Formulation | Purified antibody in PBS with 0.05% sodium azide,0.5%BSA and 50% glycerol. |
Application |
|
|---|---|
| WB | 1/500-1/1000 |
| IP | 1/10-1/20 |
| IHC | 1/50-1/100 |
| IF | 1/50-1/200 |
Product Image
-
Western blot analysis of HP1gamma in Hela, 3T3, C6, COS7 and CHO-K1 lysates using HP1 gamma antibody.

-
Immunoprecipitation analysis of HP1 gamma in Hela lysates using HP1gamma antibody.

-
Immunocytochemistry analysis of HP1 gamma in HeLa using HP1 gamma antibody.

-
Immunocytochemistry analysis of HP1 gamma in HeLa using HP1gamma (2001375G10) antibody(green) and Histone H3.1 (Phospho-Ser10)(310045)antibody(red).DAPI (blue).

-
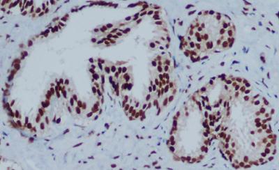
Immunohistochemistry analysis of paraffin-embedded Prostate Cancer using HP1 gamma antibody.High-pressure and temperature Sodium Citrate pH 6.0 was used for antigen retrieval.






鄂公网安备42018502007531号

