Mouse Monoclonal Antibody to Cytokeratin 17
货号:
P20428
别名:
Keratin; type I cytoskeletal 17; Cytokeratin-17; CK-17; Keratin-17; K17
应用:
WB,IP,IHC,IF
反应种属:
Human
抗体类型:
Primary antibody
Swissprot:
Q04695
规格:
目录价
在线咨询
Description |
|---|
Required for the correct growth of hair follicles, in particular for the persistence of the anagen (growth) state (By similarity). Modulates the function of TNF-alpha in the specific context of hair cycling. Regulates protein synthesis and epithelial cell growth through binding to the adapter protein SFN and by stimulating Akt/mTOR pathway (By similarity). Involved in tissue repair. |
Specification |
|
|---|---|
| Aliases | Keratin; type I cytoskeletal 17; Cytokeratin-17; CK-17; Keratin-17; K17 |
| Entrez GeneID | 3872 |
| Swissprot | Q04695 |
| clone | 9D7 |
| WB Predicted band size | Calculated MW: 48 kDa; Observed MW: 48 kDa |
| Host/Isotype | Mouse IgG1 |
| Antibody Type | Primary antibody |
| Storage | Store at 4°C short term. Aliquot and store at -20°C long term. Avoid freeze/thaw cycles. |
| Species Reactivity | Human |
| Immunogen | Synthetic Peptide of CK17 |
| Formulation | Purified antibody in PBS with 0.05% sodium azide,0.5%BSA and 50% glycerol. |
Application |
|
|---|---|
| WB | 1/500-1/1000 |
| IP | 1/10-1/20 |
| IHC | 1/50-1/100 |
| IF | 1/50-1/200 |
Product Image
-
Western blot analysis of Cytokeratin 17 in Hela, MCF-7, 293T lysates using Cytokeratin 17 antibody

-
Immunoprecipitation analysis of Cytokeratin 17 in Hela lysates using Cytokeratin 17 antibody

-
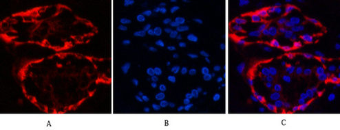
Immunofluorescence analysis of Cytokeratin 17 in Human breast tissue using CK17 antibody(red),and DAPI (blue).

-
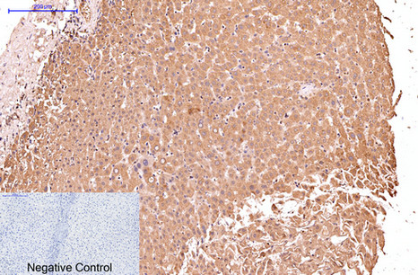
Immunohistochemistry analysis of paraffin-embedded Human liver tissue using Cytokeratin 17 antibody.High-pressure and temperature Sodium Citrate pH 6.0 was used for antigen retrieval.Negative control was used by secondary antibody only.





鄂公网安备42018502007531号

