Mouse Monoclonal Antibody to LC3A
货号:
P20448
别名:
Microtubule-associated proteins 1A/1B light chain 3A; Autophagy-related protein LC3 A; Autophagy-related ubiquitin-like modifier LC3 A; MAP1 light chain 3-like protein 1; MAP1A/MAP1B light chain 3 A; MAP1A/MAP1B LC3 A; Microtubule-associated protein 1 lig
应用:
WB,IHC
反应种属:
Human,Mouse,Rat
抗体类型:
Primary antibody
Swissprot:
Q9H492
规格:
目录价
在线咨询
Description |
|---|
Autophagy marker Light Chain 3 (LC3) was originally identified as a subunit of microtubule-associated proteins 1A and 1B (termed MAP1LC3), and subsequently found to contain similarity to the yeast protein Apg8/Aut7/Cvt5 critical for autophagy. Three human LC3 isoforms (LC3A, LC3B, and LC3C) undergo post-translational modifications during autophagy. Cleavage of LC3 at the carboxy terminus immediately following synthesis yields the cytosolic LC3-I form. |
Specification |
|
|---|---|
| Aliases | Microtubule-associated proteins 1A/1B light chain 3A; Autophagy-related protein LC3 A; Autophagy-related ubiquitin-like modifier LC3 A; MAP1 light chain 3-like protein 1; MAP1A/MAP1B light chain 3 A; MAP1A/MAP1B LC3 A; Microtubule-associated protein 1 light chain 3 alpha |
| Entrez GeneID | 84557 |
| Swissprot | Q9H492 |
| clone | 8H5 |
| WB Predicted band size | Calculated MW: 14 kDa; Observed MW: 14,16 kDa |
| Host/Isotype | Mouse IgG1 |
| Antibody Type | Primary antibody |
| Storage | Store at 4°C short term. Aliquot and store at -20°C long term. Avoid freeze/thaw cycles. |
| Species Reactivity | Human,Mouse,Rat |
| Immunogen | Purified recombinant protein expressed in E.coli. |
| Formulation | Purified antibody in PBS with 0.05% sodium azide,0.5%BSA and 50% glycerol. |
Application |
|
|---|---|
| WB | 1/500-1/1000 |
| IHC | 1/50-1/100 |
Product Image
-
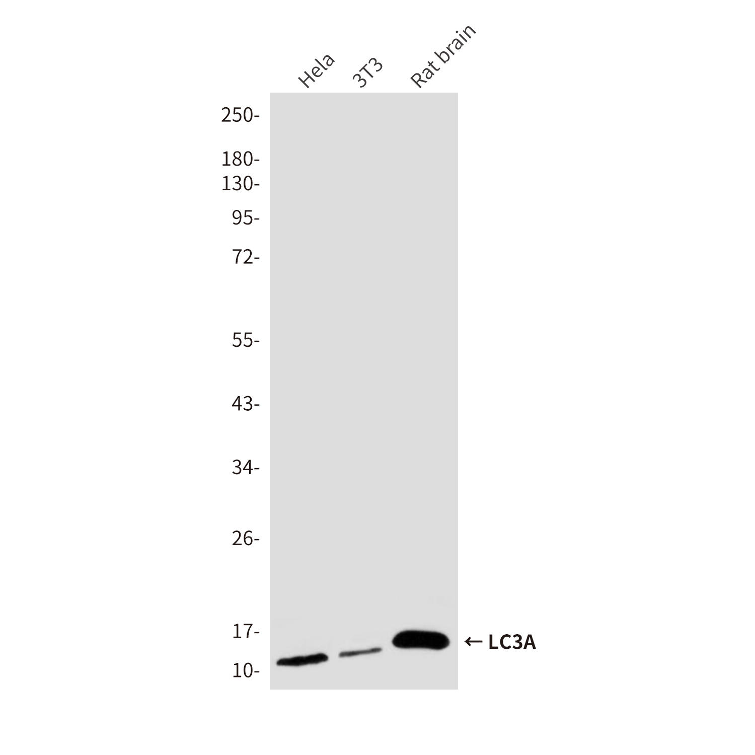
Western blot analysis of LC3A (8F5)in Hela lysates, 3T3 lysates, rat Brain lysates using LC3A antibody.

-
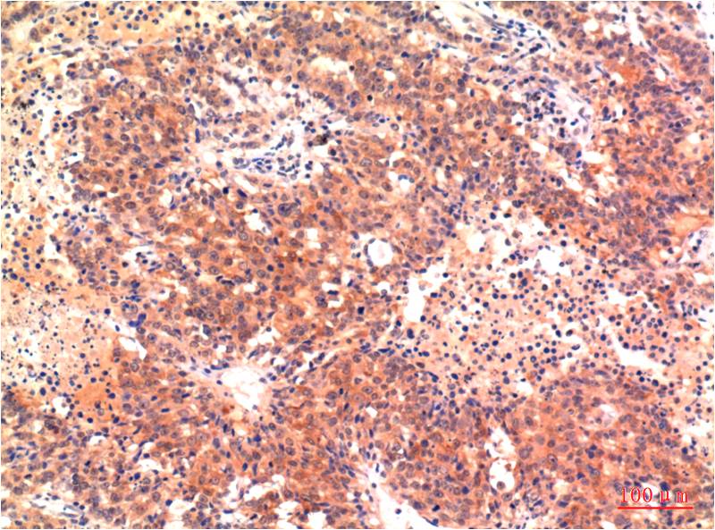
Immunohistochemistry analysis of paraffin-embedded Human Heptacarcinoma Tissue using LC3A antibody.High-pressure and temperature Sodium Citrate pH 6.0 was used for antigen retrieval.

-
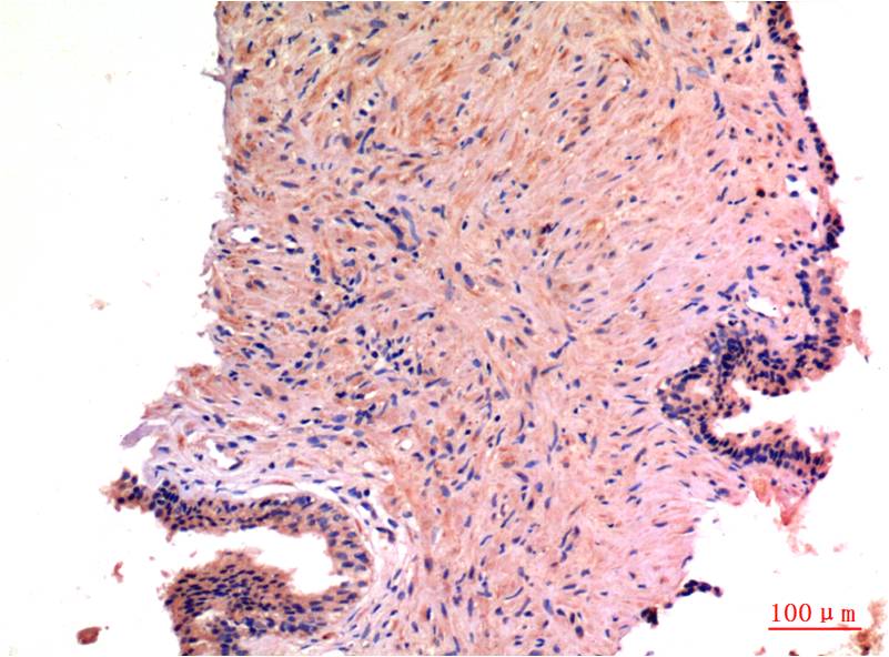
Immunohistochemistry analysis of paraffin-embedded Human Prostate Carcinoma Tissue using LC3A antibody. High-pressure and temperature Sodium Citrate pH 6.0 was used for antigen retrieval.




鄂公网安备42018502007531号

