Mouse Monoclonal Antibody to EFHD1
货号:
P20430
别名:
EF-hand domain-containing protein D1; Mitocalcin; MGC103094; Swiprosin 2
应用:
WB,IHC,IF
反应种属:
Human,Mouse,Rat
抗体类型:
Primary antibody
Swissprot:
Q9BUP0
规格:
目录价
在线咨询
Description |
|---|
Acts as a calcium sensor for mitochondrial flash (mitoflash) activation, an event characterized by stochastic bursts of superoxide production (PubMed:26975899). May play a role in neuronal differentiation . |
Specification |
|
|---|---|
| Aliases | EF-hand domain-containing protein D1; Mitocalcin; MGC103094; Swiprosin 2 |
| Entrez GeneID | 80303 |
| Swissprot | Q9BUP0 |
| clone | 5C5 |
| WB Predicted band size | Calculated MW: 27 kDa; Observed MW: 27 kDa |
| Host/Isotype | Mouse IgG1 |
| Antibody Type | Primary antibody |
| Storage | Store at 4°C short term. Aliquot and store at -20°C long term. Avoid freeze/thaw cycles. |
| Species Reactivity | Human,Mouse,Rat |
| Immunogen | Synthetic Peptide of EFHD1 |
| Formulation | Purified antibody in PBS with 0.05% sodium azide,0.5%BSA and 50% glycerol. |
Application |
|
|---|---|
| WB | 1/500-1/1000 |
| IHC | 1/50-1/100 |
| IF | 1/50-1/200 |
Product Image
-
Western blot analysis of EFHD1 in mouse spleen, rat spleen tissue lysates using EFHD1 antibody.

-
Immunofluorescence analysis of EFHD1 in mouse lung using EFHD1 antibody(3G2)(red),and DAPI (blue).

-
Immunofluorescence analysis of EFHD1 in Hela using EFHD1 antibody(Left) and DAPI (Right).

-
Immunohistochemistry analysis of paraffin-embedded Human uterus tissue using EFHD1 antibody.High-pressure and temperature Sodium Citrate pH 6.0 was used for antigen retrieval.Negative control was used by secondary antibody only.

-
Immunohistochemistry analysis of paraffin-embedded Human tonsils using EFHD1 antibody.High-pressure and temperature Sodium Citrate pH 6.0 was used for antigen retrieval.Negative control was used by secondary antibody only.

-
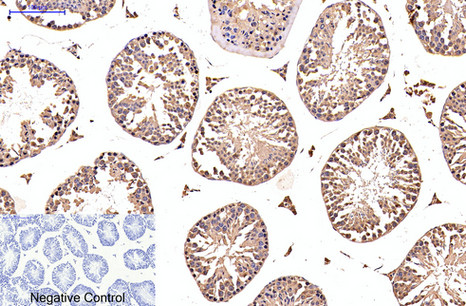
Immunohistochemistry analysis of paraffin-embedded mouse testis tissue using EFHD1 antibody. High-pressure and temperature Sodium Citrate pH 6.0 was used for antigen retrieval. Negative control was used by secondary antibody only.







鄂公网安备42018502007531号

