Mouse Monoclonal Antibody to CD15
货号:
P20378
别名:
FUT4; ELFT; FCT3A; Alpha-(1; 3)-fucosyltransferase; ELAM-1 ligand fucosyltransferase; Fucosyltransferase 4; Fucosyltransferase IV; Fuc-TIV; FucT-IV; Galactoside 3-L-fucosyltransferase
应用:
IHC,IF
反应种属:
Human
抗体类型:
Primary antibody
Swissprot:
P22083
规格:
目录价
在线咨询
Description |
|---|
The product of this gene transfers fucose to N-acetyllactosamine polysaccharides to generate fucosylated carbohydrate structures. It catalyzes the synthesis of the non-sialylated antigen, Lewis x (CD15). |
Specification |
|
|---|---|
| Aliases | FUT4; ELFT; FCT3A; Alpha-(1; 3)-fucosyltransferase; ELAM-1 ligand fucosyltransferase; Fucosyltransferase 4; Fucosyltransferase IV; Fuc-TIV; FucT-IV; Galactoside 3-L-fucosyltransferase |
| Entrez GeneID | 2526 |
| Swissprot | P22083 |
| clone | 8D5 |
| Host/Isotype | Mouse IgG1 |
| Antibody Type | Primary antibody |
| Storage | Store at 4°C short term. Aliquot and store at -20°C long term. Avoid freeze/thaw cycles. |
| Species Reactivity | Human |
| Immunogen | Synthetic Peptide of CD15 |
| Formulation | Purified antibody in PBS with 0.05% sodium azide,0.5%BSA and 50% glycerol. |
Application |
|
|---|---|
| IHC | 1/50-1/100 |
| IF | 1/50-1/200 |
Product Image
-
Immunofluorescence analysis of CD15 in Human livercancer tissue using CD15 antibody(red),and DAPI (blue).

-
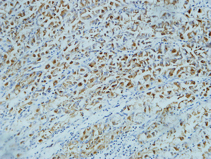
Immunohistochemistry analysis of paraffin-embedded Human lung cancer tissue using CD15 antibody.High-pressure and temperature Sodium Citrate pH 6.0 was used for antigen retrieval.Negative control was used by secondary antibody only.

-
Immunohistochemistry analysis of paraffin-embedded rat Brain Tissue using CD 15 antibody. High-pressure and temperature Sodium Citrate pH 6.0 was used for antigen retrieval.

-
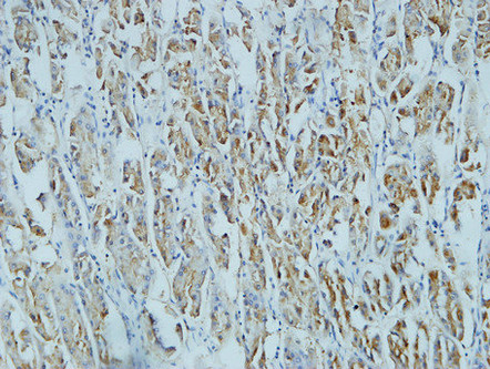
Immunohistochemistry analysis of paraffin-embedded Human stomach using CD15 antibody.High-pressure and temperature Tris-EDTA pH 8.0 was used for antigen retrieval.

-
Immunohistochemistry analysis of paraffin-embedded Human stomach using CD15 antibody.High-pressure and temperature Tris-EDTA pH 8.0 was used for antigen retrieval.

-
Immunohistochemistry analysis of paraffin-embedded Human stomach using CD15 antibody.High-pressure and temperature Tris-EDTA pH 8.0 was used for antigen retrieval.







鄂公网安备42018502007531号

