Rabbit Polyclonal Antibody to Phospho-PAK1/2/3 (Ser144/Ser141/Ser154)
货号:
P20235
别名:
ADRB2; Alpha-PAK; CDC42/RAC effector kinase PAK-A; EC 2.7.11.1; P65-PAK; P68-PAK; PAK1 (phospho S144); PAK2 (phospho S141); PAK3 (phospho S154)
应用:
WB,IP,IHC,IF,FCM
反应种属:
Human,Mouse,Rat
抗体类型:
Primary antibody
Swissprot:
O75914/Q13153/Q13177
规格:
目录价
在线咨询
Description |
|---|
PAK proteins are critical effectors that link RhoGTPases to cytoskeleton reorganization and nuclear signaling. PAK proteins, a family of serine/threonine p21-activating kinases, include PAK1, PAK2, PAK3 and PAK4. |
Specification |
|
|---|---|
| Aliases | ADRB2; Alpha-PAK; CDC42/RAC effector kinase PAK-A; EC 2.7.11.1; P65-PAK; P68-PAK; PAK1 (phospho S144); PAK2 (phospho S141); PAK3 (phospho S154) |
| Entrez GeneID | 5063/5058/5062 |
| Swissprot | O75914/Q13153/Q13177 |
| WB Predicted band size | Calculated MW: 61 kDa; Observed MW: 65 kDa |
| Host/Isotype | Rabbit IgG |
| Antibody Type | Primary antibody |
| Storage | Store at 4°C short term. Aliquot and store at -20°C long term. Avoid freeze/thaw cycles. |
| Species Reactivity | Human,Mouse,Rat |
| Immunogen | A synthesized peptide derived from human Phospho-PAK1/2/3 (S144+S141+S139) |
| Formulation | Purified antibody in PBS with 0.05% sodium azide. |
Application |
|
|---|---|
| WB | 1/500-1/1000 |
| IP | 1/10-1/20 |
| IHC | 1/50-1/100 |
| IF | 1/50-1/200 |
| FCM | 1/50-1/100 |
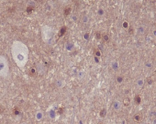
Product Image
-
Western blot analysis of Phospho-PAK1/2/3 in HeLa lysates treated with lambda phosphatase using Phospho-PAK1/2/3 (Ser144/Ser141/Ser154) antibody.

-
Immunohistochemistry analysis of paraffin-embedded mouse brain using Phospho-PAK1/2/3 (S144+S141+S139) antibody.High-pressure and temperature Sodium Citrate pH 6.0 was used for antigen retrieval.



鄂公网安备42018502007531号

