Rabbit Monoclonal Antibody to Phospho-Histone H3 (Ser10/Thr11)
货号:
P20210
别名:
H3 histone; family 3A; H3 histone; family 3B (H3.3B); H3.3A; H3.3B; H33; H3F3; H3F3A; H3F3B; Histone H3.3
应用:
WB,IP,IHC,IF
反应种属:
Human,Mouse,Rat
抗体类型:
Primary antibody
Swissprot:
P68431
规格:
目录价
在线咨询
Description |
|---|
H3 Core component of nucleosome. Nucleosomes wrap and compact DNA into chromatin, limiting DNA accessibility to the cellular machineries which require DNA as a template. Histones thereby play a central role in transcription regulation, DNA repair, DNA replication and chromosomal stability. |
Specification |
|
|---|---|
| Aliases | H3 histone; family 3A; H3 histone; family 3B (H3.3B); H3.3A; H3.3B; H33; H3F3; H3F3A; H3F3B; Histone H3.3 |
| Entrez GeneID | 8350 |
| Swissprot | P68431 |
| WB Predicted band size | Calculated MW: 15 kDa; Observed MW: 15 kDa |
| Host/Isotype | Rabbit IgG |
| Antibody Type | Primary antibody |
| Storage | Store at 4°C short term. Aliquot and store at -20°C long term. Avoid freeze/thaw cycles. |
| Species Reactivity | Human,Mouse,Rat |
| Immunogen | A synthetic phosphopeptide corresponding to residues surrounding Ser10/Thr11 of human Histone H3 |
| Formulation | Purified antibody in TBS with 0.05% sodium azide,0.05%BSA and 50% glycerol. |
Application |
|
|---|---|
| WB | 1/500-1/1000 |
| IP | 1/10-1/20 |
| IHC | 1/50-1/100 |
| IF | 1/50-1/200 |
Product Image
-
Western blot analysis of Phospho-Histone H3 (Ser10/Thr11) in 3T3 lysates using Phospho-Histone H3 (Ser10/Thr11)antibody.

-
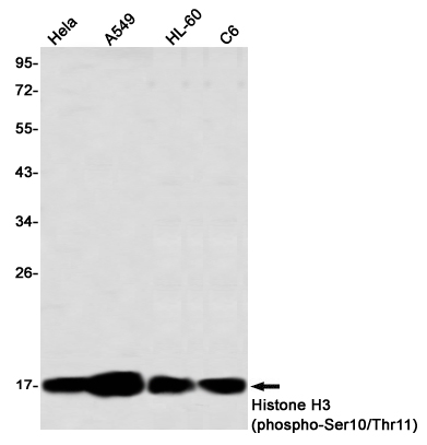
Western blot analysis of Histone H3 (Phospho-Ser10/Thr11) in Hela, A549, HL-60, C6 lysates using Histone H3 (Phospho-Ser10/Thr11) antibody

-
Immunocytochemistry analysis of Phospho-Histone H3 (Ser10/Thr11) (green) in Hela using Phospho-Histone H3 (Ser10/Thr11) antibody,and DAPI(blue).

-
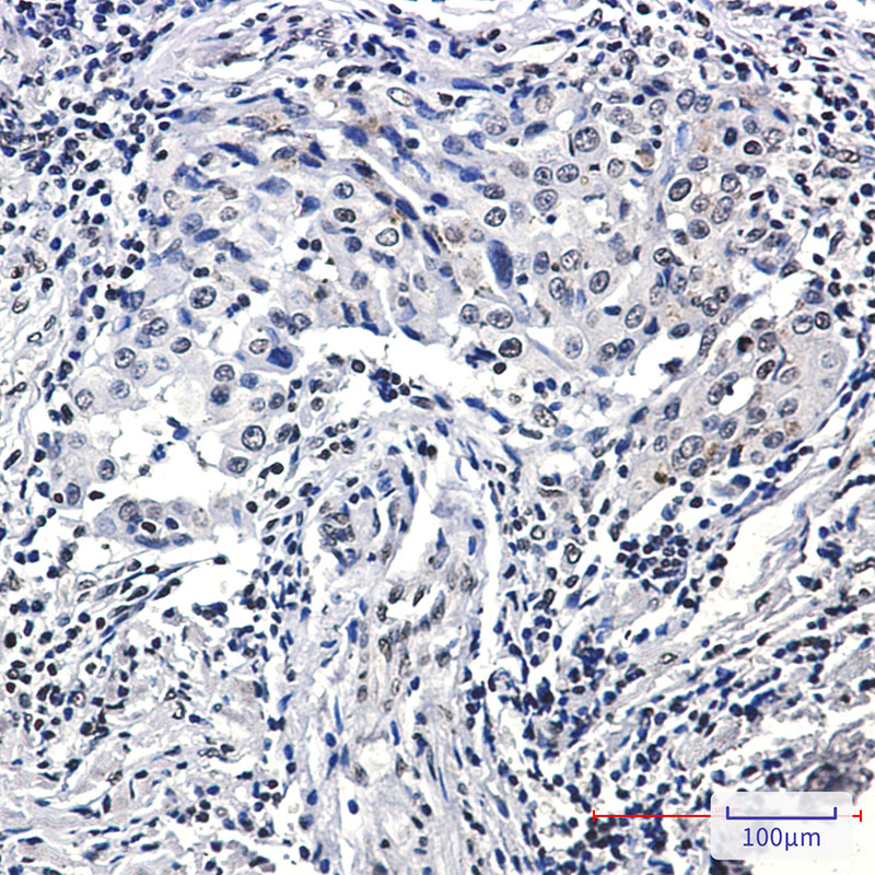
Immunohistochemistry analysis of paraffin-embedded Human lung cancer using Histone H3 (Phospho-Ser10/Thr11) antibody.High-pressure and temperature Sodium Citrate pH 6.0 was used for antigen retrieval.





鄂公网安备42018502007531号

