Rabbit Monoclonal Antibody to Phospho-MCM2 (Ser41)
货号:
P20084
别名:
MCM2; BM28; CCNL1; CDCL1; KIAA0030; DNA replication licensing factor MCM2; Minichromosome maintenance protein 2 homolog; Nuclear protein BM28
应用:
WB,IP,IHC
反应种属:
Human,Rat,Hamster
抗体类型:
Primary antibody
Swissprot:
P49736
规格:
目录价
在线咨询
Description |
|---|
The protein encoded by this gene is one of the highly conserved mini-chromosome maintenance proteins (MCM) that are involved in the initiation of eukaryotic genome replication. The hexameric protein complex formed by MCM proteins is a key component of the pre-replication complex (pre_RC) and may be involved in the formation of replication forks and in the recruitment of other DNA replication related proteins. This protein forms a complex with MCM4, 6, and 7, and has been shown to regulate the helicase activity of the complex. This protein is phosphorylated, and thus regulated by, protein kinases CDC2 and CDC7. Multiple alternatively spliced transcript variants have been found, but the full-length nature of some variants has not been defined. [provided by RefSeq, Oct 2012] |
Specification |
|
|---|---|
| Aliases | MCM2; BM28; CCNL1; CDCL1; KIAA0030; DNA replication licensing factor MCM2; Minichromosome maintenance protein 2 homolog; Nuclear protein BM28 |
| Entrez GeneID | 4171 |
| Swissprot | P49736 |
| WB Predicted band size | Calculated MW: 102 kDa; Observed MW: 125 kDa |
| Host/Isotype | Rabbit IgG |
| Antibody Type | Primary antibody |
| Storage | Store at 4°C short term. Aliquot and store at -20°C long term. Avoid freeze/thaw cycles. |
| Species Reactivity | Human,Rat,Hamster |
| Immunogen | A synthetic phosphopeptide corresponding to residues surrounding Ser41 of human MCM2 |
| Formulation | Purified antibody in TBS with 0.05% sodium azide,0.05%BSA and 50% glycerol. |
Application |
|
|---|---|
| WB | 1/500-1/1000 |
| IP | 1/10-1/20 |
| IHC | 1/50-1/100 |
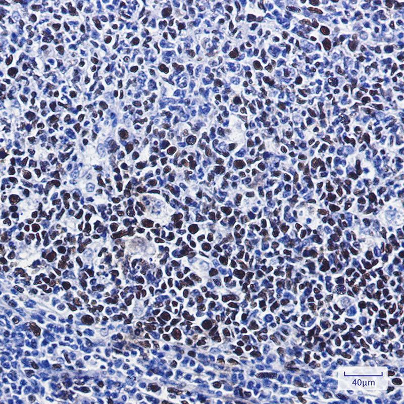
Product Image
-
Western blot analysis of Phospho-MCM2 (Ser41) in Jurkat, C6, CHO-K1, Hela lysates using Phospho-MCM2 (Ser41) antibody.

-
Immunohistochemistry analysis of paraffin-embedded Human tonsil using MCM2 (Phospho- S41) antibody.High-pressure and temperature Sodium Citrate pH 6.0 was used for antigen retrieval.



鄂公网安备42018502007531号

