Rabbit Monoclonal Antibody to Phospho-p27 Kip 1 (Ser10)
货号:
P20134
别名:
CDKN1B; KIP1; Cyclin-dependent kinase inhibitor 1B; Cyclin-dependent kinase inhibitor p27; p27Kip1
应用:
WB,IP,IHC
反应种属:
Human,Mouse,Rat
抗体类型:
Primary antibody
Swissprot:
P46527
规格:
目录价
在线咨询
Description |
|---|
The encoded protein binds to and prevents the activation of cyclin E-CDK2 or cyclin D-CDK4 complexes, and thus controls the cell cycle progression at G1. The degradation of this protein, which is triggered by its CDK dependent phosphorylation and subsequent ubiquitination by SCF complexes, is required for the cellular transition from quiescence to the proliferative state. |
Specification |
|
|---|---|
| Aliases | CDKN1B; KIP1; Cyclin-dependent kinase inhibitor 1B; Cyclin-dependent kinase inhibitor p27; p27Kip1 |
| Entrez GeneID | 1027 |
| Swissprot | P46527 |
| WB Predicted band size | Calculated MW: 22 kDa; Observed MW: 27 kDa |
| Host/Isotype | Rabbit IgG |
| Antibody Type | Primary antibody |
| Storage | Store at 4°C short term. Aliquot and store at -20°C long term. Avoid freeze/thaw cycles. |
| Species Reactivity | Human,Mouse,Rat |
| Immunogen | A synthetic phosphopeptide corresponding to residues surrounding Ser10 of human p27 KIP 1 |
| Formulation | Purified antibody in TBS with 0.05% sodium azide,0.05%BSA and 50% glycerol. |
Application |
|
|---|---|
| WB | 1/500-1/1000 |
| IP | 1/10-1/20 |
| IHC | 1/50-1/100 |
Product Image
-
Western blot analysis of Phospho-p27 KIP 1 (Ser10) in Hela, 3T3 lysates using Phospho-p27 Kip 1 (Ser10) antibody.

-
Western blot analysis of Phospho-p27 KIP 1 (Ser10) in C6 lysates using Phospho-p27 KIP 1 (Ser10) antibody.

-
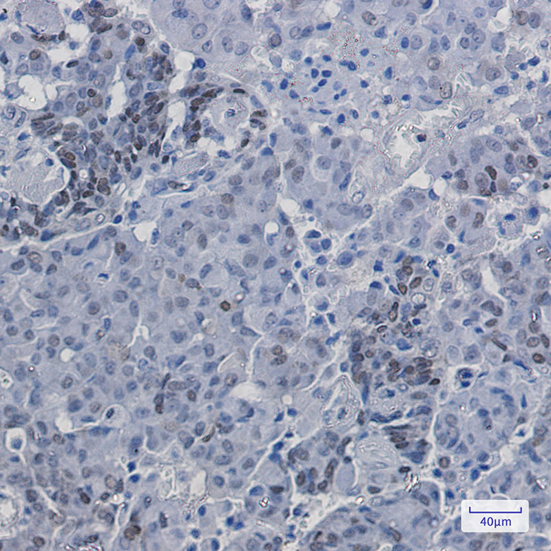
Immunohistochemistry analysis of paraffin-embedded Human breast cancer using p27 KIP 1 (Phospho-Ser10) antibody. High-pressure and temperature Sodium Citrate pH 6.0 was used for antigen retrieval.




鄂公网安备42018502007531号

