Rabbit Polyclonal Antibody to Acetyl-Histone H2B (Lys15)
货号:
P20020
别名:
H2BK15ac; H2B 1A; H2B; H2B histone family; H2B2f; H2Ba; H2Bf; HIST2H2BF; histone H2B; histone H2B type 1; Histone H2B type 2-F
应用:
WB,IP,IHC,IF
反应种属:
Human,Mouse,Rat
抗体类型:
Primary antibody
Swissprot:
P33778
规格:
目录价
在线咨询
Description |
|---|
Belongs to the histone H2B family. Play a central role in transcription regulation, DNA repair, DNA replication and chromosomal stability. DNA accessibility is regulated via a complex set of post-translational modifications of histones, also called histone code, and nucleosome remodeling. |
Specification |
|
|---|---|
| Aliases | H2BK15ac; H2B 1A; H2B; H2B histone family; H2B2f; H2Ba; H2Bf; HIST2H2BF; histone H2B; histone H2B type 1; Histone H2B type 2-F |
| Entrez GeneID | 3018 |
| Swissprot | P33778 |
| WB Predicted band size | Calculated MW: 14 kDa; Observed MW: 14 kDa |
| Host/Isotype | Rabbit IgG |
| Antibody Type | Primary antibody |
| Storage | Store at 4°C short term. Aliquot and store at -20°C long term. Avoid freeze/thaw cycles. |
| Species Reactivity | Human,Mouse,Rat |
| Immunogen | AA synthetic acetylated peptide corresponding to residues surrounding K15 of human Histone H2B |
| Formulation | Purified antibody in PBS with 0.05% sodium azide,0.5%BSA and 50% glycerol. |
Application |
|
|---|---|
| WB | 1/500-1/1000 |
| IP | 1/10-1/20 |
| IHC | 1/50-1/100 |
| IF | 1/50-1/200 |
Product Image
-
Western blot analysis of Acetyl-Histone H2B (Lys15) in various cell lines lysates using Acetyl-Histone H2BK15 antibody.

-
Immunofluorescence analysis of Acetyl-Histone H2B (Lys15) in C6 using Acetyl-Histone H2BK15 antibody.C6 cells were treated by TSA,and DAPI (blue).

-
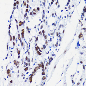
Immunohistochemistry analysis of paraffin-embedded rat lung using Acetyl-Histone H2B (Lys15) antibody.High-pressure and temperature Sodium Citrate pH 6.0 was used for antigen retrieval.

-
Immunohistochemistry analysis of paraffin-embedded Human breast cancer using H2B K15ac antibody. High-pressure and temperature Sodium Citrate pH 6.0 was used for antigen retrieval.

-
Immunohistochemistry analysis of paraffin-embedded Human gastric cancer using H2B K15ac antibody.High-pressure and temperature Sodium Citrate pH 6.0 was used for antigen retrieval.

-
Immunohistochemistry analysis of paraffin-embedded mouse brain using H2B K15ac antibody.High-pressure and temperature Sodium Citrate pH 6.0 was used for antigen retrieval.







鄂公网安备42018502007531号

