Rabbit Monoclonal to COXIV
货号:
P18880
别名:
Cytochrome c oxidase subunit 4 isoform 1, mitochondrial; Cytochrome c oxidase polypeptide IV; COX IV-1; COX4I1; COX4;;COX IV
应用:
WB,IHC/IHF,IF,IP,FCM
反应种属:
Human,Mouse,Rat
抗体类型:
Primary antibody
Swissprot:
P13073
规格:
目录价
在线咨询
Description |
|---|
Component of the cytochrome c oxidase, the last enzyme in the mitochondrial electron transport chain which drives oxidative phosphorylation. |
Specification |
|
|---|---|
| Aliases | Cytochrome c oxidase subunit 4 isoform 1, mitochondrial; Cytochrome c oxidase polypeptide IV; COX IV-1; COX4I1; COX4;;COX IV |
| Swissprot | P13073 |
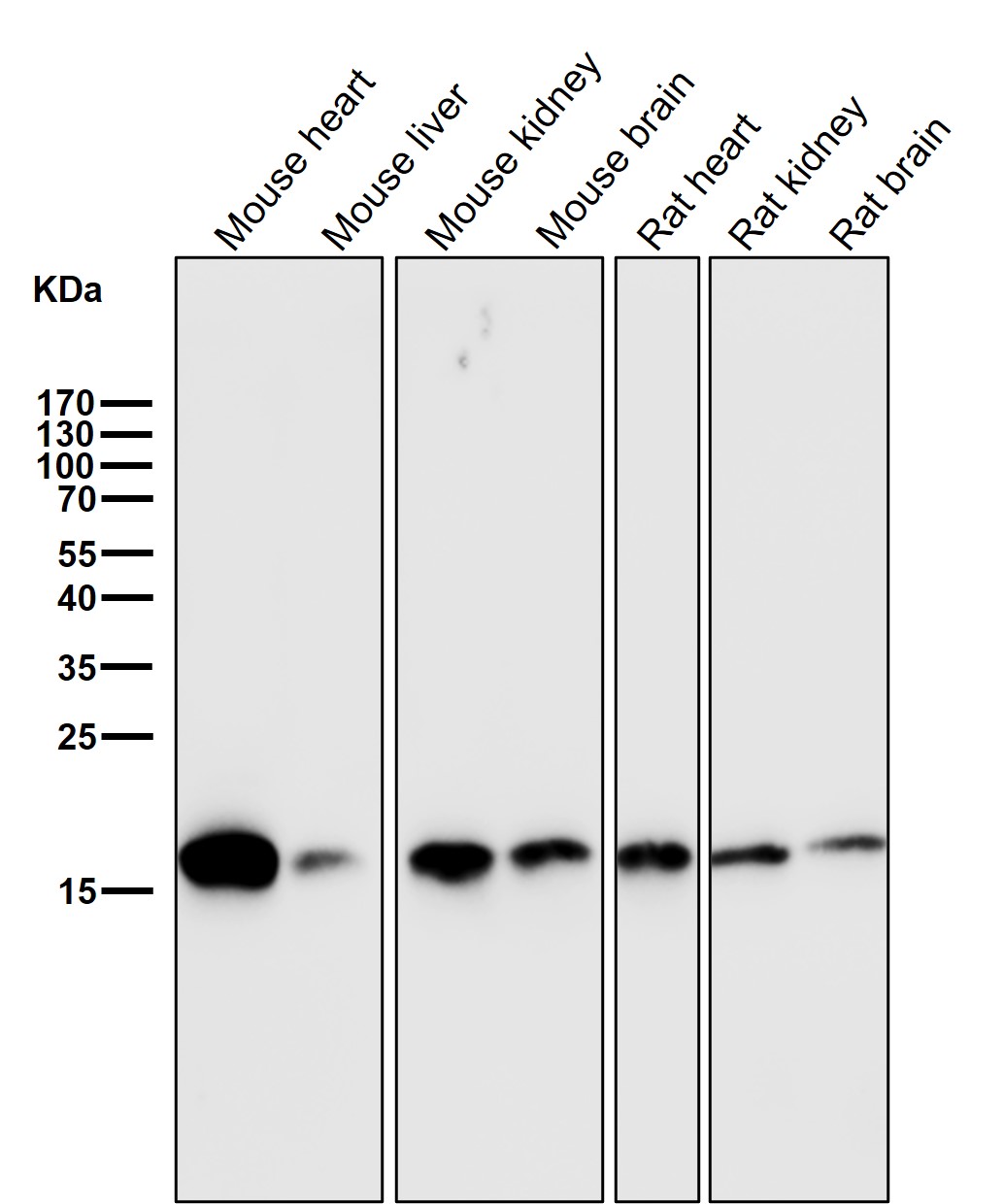
| WB Predicted band size | Calculated MW: 20 kDa ; Observed MW: 17 kDa |
| Host/Isotype | Rabbit IgG |
| Antibody Type | Primary antibody |
| Storage | Store at 4°C short term. Aliquot and store at -20°C long term. Avoid freeze/thaw cycles. |
| Species Reactivity | Human,Mouse,Rat |
| Immunogen | A synthesized peptide derived from human COX IV |
| Formulation | Purified antibody in PBS with 0.05% sodium azide,0.05% BSA and 50% glycerol. |
Application |
|
|---|---|
| WB | 1/1000-1/2000 |
| IP | 1/20-1/50 |
| IHC | IHC:1/100-1/200;IHF:1/50-1/200 |
| IF | 1/50-1/200 |
| FCM | 1/20-1/100 |








鄂公网安备42018502007531号

