Rabbit Monoclonal to PKC beta1
货号:
P17771
别名:
protein kinase C beta type;PRKCB;Prkcb;PKC-B; PKC-beta;PRKCB1;PKC Beta-I;EC:2.7.11.13;PKC beta
应用:
WB,IHC/IHF,IF,FCM
反应种属:
Human,Mouse,Rat
抗体类型:
Primary antibody
Swissprot:
P05771
规格:
目录价
在线咨询
Description |
|---|
Calcium-activated, phospholipid- and diacylglycerol (DAG)-dependent serine/threonine-protein kinase involved in various cellular processes such as regulation of the B-cell receptor (BCR) signalosome, oxidative stress-induced apoptosis, androgen receptor-dependent transcription regulation, insulin signaling and endothelial cells proliferation. |
Specification |
|
|---|---|
| Aliases | protein kinase C beta type;PRKCB;Prkcb;PKC-B; PKC-beta;PRKCB1;PKC Beta-I;EC:2.7.11.13;PKC beta |
| Swissprot | P05771 |
| WB Predicted band size | Calculated MW: 77 kDa ; Observed MW: 40,77 kDa |
| Host/Isotype | Rabbit IgG |
| Antibody Type | Primary antibody |
| Storage | Store at 4°C short term. Aliquot and store at -20°C long term. Avoid freeze/thaw cycles. |
| Species Reactivity | Human,Mouse,Rat |
| Immunogen | A synthesized peptide derived from human PKC beta |
| Formulation | Purified antibody in PBS with 0.05% sodium azide,0.05% BSA and 50% glycerol. |
Application |
|
|---|---|
| WB | 1/1000-1/2000 |
| IHC | IHC:1/100-1/200;IHF:1/50-1/200 |
| IF | 1/50-1/200 |
| FCM | 1/20-1/100 |
Product Image
-
All lanes use the Antibody at 1:2K dilution for 1 hour at room temperature.

-
All lanes use the Antibody at 1:2K dilution for 1 hour at room temperature.

-
Western blot analysis of PKC beta 1 expression in (1) HeLa cell lysate; (2) NIH/3T3 cell lysate.

-
Immunofluorescent analysis using the Antibody at 1:50 dilution.

-
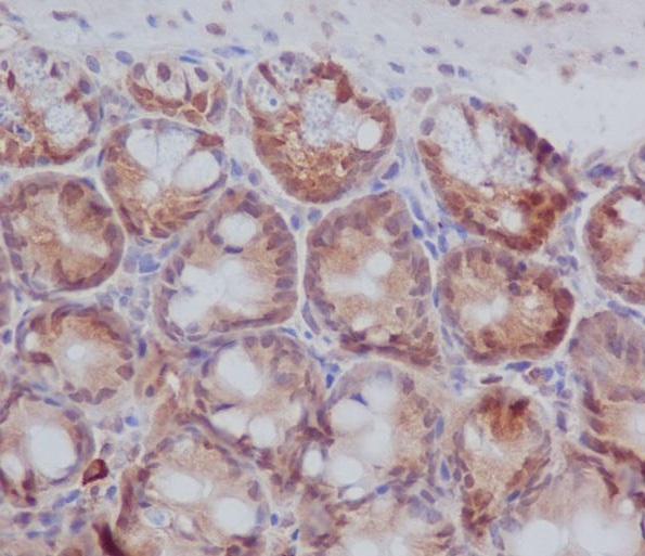
Immunohistochemical analysis of paraffin-embedded mouse colon, using PKC beta 1 Antibody.





鄂公网安备42018502007531号

