Rabbit Monoclonal to ULK1
货号:
P17637
别名:
Serine/threonine-protein kinase ULK1; Autophagy-related protein 1 homolog; ATG1; Unc-51-like kinase 1; ULK1;;ULK1
应用:
WB,IHC/IHF,IF,
反应种属:
Human,Mouse,Rat
抗体类型:
Primary antibody
Swissprot:
O75385
规格:
目录价
在线咨询
Description |
|---|
Serine/threonine-protein kinase involved in autophagy in response to starvation. Acts upstream of phosphatidylinositol 3-kinase PIK3C3 to regulate the formation of autophagophores, the precursors of autophagosomes. |
Specification |
|
|---|---|
| Aliases | Serine/threonine-protein kinase ULK1; Autophagy-related protein 1 homolog; ATG1; Unc-51-like kinase 1; ULK1;;ULK1 |
| Swissprot | O75385 |
| WB Predicted band size | Calculated MW: 113 kDa ; Observed MW: 120 kDa |
| Host/Isotype | Rabbit IgG |
| Antibody Type | Primary antibody |
| Storage | Store at 4°C short term. Aliquot and store at -20°C long term. Avoid freeze/thaw cycles. |
| Species Reactivity | Human,Mouse,Rat |
| Immunogen | A synthesized peptide derived from human ULK1 |
| Formulation | Purified antibody in PBS with 0.05% sodium azide,0.05% BSA and 50% glycerol. |
Application |
|
|---|---|
| WB | 1/1000-1/2000 |
| IHC | IHC:1/100-1/200;IHF:1/50-1/200 |
| IF | 1/50-1/200 |
Product Image
-
All lanes use the Antibody at 1:2K dilution for 1 hour at room temperature.

-
Western blot analysis of ULK1 expression in (1) HEK293 cell lysate; (2) PC12 cell lysate.

-
Immunofluorescent analysis using the Antibody at 1:100 dilution.

-
Immunofluorescent analysis of 293 cells, using ULK1 Antibody .

-
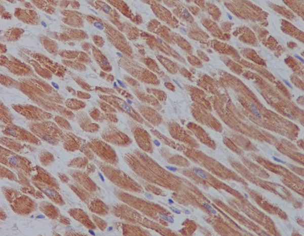
Immunohistochemical analysis of paraffin-embedded human heart, using ULK1 Antibody.






鄂公网安备42018502007531号

