Rabbit Monoclonal to LOX
货号:
P17610
别名:
lox; LYOX; Lysyl oxidase; Protein lysine 6 oxidase;;LOX
应用:
WB,IHC/IHF,IF,IP,FCM
反应种属:
Human,Mouse,Rat
抗体类型:
Primary antibody
Swissprot:
P28300
规格:
目录价
在线咨询
Description |
|---|
Responsible for the post-translational oxidative deamination of peptidyl lysine residues in precursors to fibrous collagen and elastin. In addition to cross-linking of extracellular matrix proteins, may have a direct role in tumor suppression. |
Specification |
|
|---|---|
| Aliases | lox; LYOX; Lysyl oxidase; Protein lysine 6 oxidase;;LOX |
| Swissprot | P28300 |
| WB Predicted band size | Calculated MW: 47 kDa ; Observed MW: 50 kDa |
| Host/Isotype | Rabbit IgG |
| Antibody Type | Primary antibody |
| Storage | Store at 4°C short term. Aliquot and store at -20°C long term. Avoid freeze/thaw cycles. |
| Species Reactivity | Human,Mouse,Rat |
| Immunogen | A synthesized peptide derived from human LOX |
| Formulation | Purified antibody in PBS with 0.05% sodium azide,0.05% BSA and 50% glycerol. |
Application |
|
|---|---|
| WB | 1/1000-1/2000 |
| IP | 1/20-1/50 |
| IHC | IHC:1/100-1/200;IHF:1/50-1/200 |
| IF | 1/50-1/200 |
| FCM | 1/20-1/100 |
Product Image
-
All lanes use the Antibody at 1:2K dilution for 1 hour at room temperature.

-
All lanes use the Antibody at 1:2K dilution for 1 hour at room temperature.

-
Western blot analysis of LOX expression in (1) Jurkat cell lysate; (2) Mouse brain lysate.

-
Immunofluorescent analysis using the Antibody at 1:50 dilution.

-
Immunofluorescent analysis using the Antibody at 1:100 dilution.

-
Immunofluorescent analysis of Jurkat cells, using LOX Antibody .

-
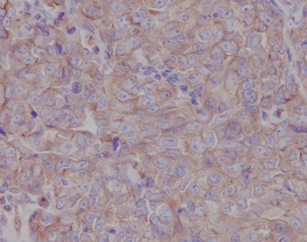
Immunohistochemical analysis of paraffin-embedded human breast, using LOX Antibody.








鄂公网安备42018502007531号

