Rabbit Monoclonal to Collagen VI
货号:
P17410
别名:
Alpha 1 (VI) chain (61 AA); COL6A1; COL6A2; COL6A3; Collagen alpha 2(VI) chain; Collagen alpha 3(VI) chain; OPLL; PP3610;;Collagen VI
应用:
WB,IHC/IHF,IF,
反应种属:
Human,Mouse,Rat
抗体类型:
Primary antibody
Swissprot:
P12109
规格:
目录价
在线咨询
Description |
|---|
Collagen VI acts as a cell-binding protein. |
Specification |
|
|---|---|
| Aliases | Alpha 1 (VI) chain (61 AA); COL6A1; COL6A2; COL6A3; Collagen alpha 2(VI) chain; Collagen alpha 3(VI) chain; OPLL; PP3610;;Collagen VI |
| Swissprot | P12109 |
| WB Predicted band size | Calculated MW: 109,344 kDa ; Observed MW: 147 kDa |
| Host/Isotype | Rabbit IgG |
| Antibody Type | Primary antibody |
| Storage | Store at 4°C short term. Aliquot and store at -20°C long term. Avoid freeze/thaw cycles. |
| Species Reactivity | Human,Mouse,Rat |
| Immunogen | A synthesized peptide derived from human Collagen VI |
| Formulation | Purified antibody in PBS with 0.05% sodium azide,0.05% BSA and 50% glycerol. |
Application |
|
|---|---|
| WB | 1/1000-1/2000 |
| IHC | IHC:1/100-1/200;IHF:1/50-1/200 |
| IF | 1/50-1/200 |
Product Image
-
All lanes use the Antibody at 1:2K dilution for 1 hour at room temperature.

-
All lanes use the Antibody at 1:2K dilution for 1 hour at room temperature.

-
All lanes use the Antibody at 1:2K dilution for 1 hour at room temperature.

-
Immunofluorescent analysis using the Antibody at 1:50 dilution.

-
Immunofluorescent analysis using the Antibody at 1:200 dilution.

-
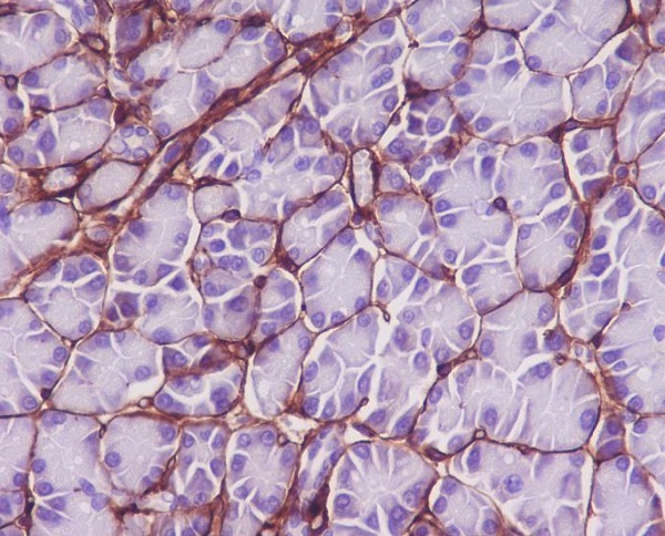
Immunohistochemical analysis of paraffin-embedded rat pancreas, using Collagen VI Antibody.







鄂公网安备42018502007531号

