Rabbit Monoclonal to Cdk6
货号:
P17372
别名:
CDK 6; Cell division protein kinase 6; Crk 2; Cyclin dependent kinase 6; p40; PLSTIRE; STQTL11;;CDK6
应用:
WB,IHC/IHF,IF,FCM
反应种属:
Human
抗体类型:
Primary antibody
Swissprot:
Q00534
规格:
目录价
在线咨询
Description |
|---|
Serine/threonine-protein kinase involved in the control of the cell cycle and differentiation; promotes G1/S transition. Phosphorylates pRB/RB1 and NPM1. Interacts with D-type G1 cyclins during interphase at G1 to form a pRB/RB1 kinase and controls the entrance into the cell cycle. |
Specification |
|
|---|---|
| Aliases | CDK 6; Cell division protein kinase 6; Crk 2; Cyclin dependent kinase 6; p40; PLSTIRE; STQTL11;;CDK6 |
| Swissprot | Q00534 |
| WB Predicted band size | 37 kDa |
| Host/Isotype | Rabbit IgG |
| Antibody Type | Primary antibody |
| Storage | Store at 4°C short term. Aliquot and store at -20°C long term. Avoid freeze/thaw cycles. |
| Species Reactivity | Human |
| Immunogen | A synthesized peptide derived from human CDK6 |
| Formulation | Purified antibody in PBS with 0.05% sodium azide,0.05% BSA and 50% glycerol. |
Application |
|
|---|---|
| WB | 1/1000-1/5000 |
| IHC | IHC:1/100-1/200;IHF:1/50-1/200 |
| IF | 1/50-1/200 |
| FCM | 1/20-1/100 |
Product Image
-
All lanes use the Antibody at 1:5000 dilution for 1 hour at room temperature.

-
Western blot analysis of CDK6 expression in HeLa cell lysate.

-
ElncRNA1, a long non-coding RNA that is transcriptionally induced by oestrogen, promotes epithelial ovarian cancer cell proliferation. -International Journal of Oncology

-
Immunofluorescent analysis using the Antibody at 1:50 dilution.

-
Immunofluorescent analysis using the Antibody at 1:50 dilution.

-
Immunofluorescent analysis of K562 cells, using CDK6 Antibody.

-
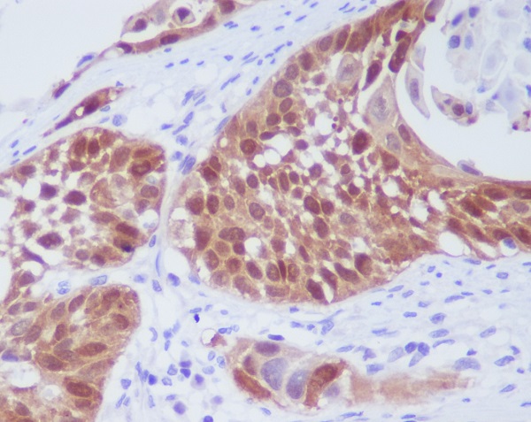
Immunohistochemical analysis of paraffin-embedded human lung cancer, using CDK6 Antibody.








鄂公网安备42018502007531号

