Rabbit Monoclonal to ATF5
货号:
P17393
别名:
Cyclic AMP-dependent transcription factor ATF-5; Activating transcription factor 5; Transcription factor ATFx; ATF5; ATFX; NAP1; NRIF3 associated protein; ODA 10;;ATF5
应用:
WB,IHC/IHF,IF,IP
反应种属:
Human,Mouse,Rat
抗体类型:
Primary antibody
Swissprot:
Q9Y2D1
规格:
目录价
在线咨询
Description |
|---|
Its transcriptional activity is enhanced by CCND3 and slightly inhibited by CDK4.Important regulator of the cerebral cortex formation, functions in cerebral cortical neuroprogenitor cells to maintain proliferation and to block differentiation into neurons. Must be down-regulated in order for such cells to exit the cycle and differentiate.Participates in the pathways by which SHH promotes cerebellar granule neuron progenitor cells proliferation. |
Specification |
|
|---|---|
| Aliases | Cyclic AMP-dependent transcription factor ATF-5; Activating transcription factor 5; Transcription factor ATFx; ATF5; ATFX; NAP1; NRIF3 associated protein; ODA 10;;ATF5 |
| Swissprot | Q9Y2D1 |
| WB Predicted band size | 31 kDa |
| Host/Isotype | Rabbit IgG |
| Antibody Type | Primary antibody |
| Storage | Store at 4°C short term. Aliquot and store at -20°C long term. Avoid freeze/thaw cycles. |
| Species Reactivity | Human,Mouse,Rat |
| Immunogen | A synthesized peptide derived from human ATF5 |
| Formulation | Purified antibody in PBS with 0.05% sodium azide,0.05% BSA and 50% glycerol. |
Application |
|
|---|---|
| WB | 1/1000-1/2000 |
| IP | 1/20-1/50 |
| IHC | IHC:1/100-1/200;IHF:1/50-1/200 |
| IF | 1/50-1/200 |
Product Image
-
All lanes use the Antibody at 1:2K dilution for 1 hour at room temperature.

-
All lanes use the Antibody at 1:2K dilution for 1 hour at room temperature.

-
Western blot analysis of ATF5 expression in (1) Jurkat cell lysate; (2) 3T3 cell lysate; (2) C6 cell lysate.

-
Immunofluorescent analysis using the Antibody at 1:50 dilution.

-
Immunofluorescent analysis using the Antibody at 1:150 dilution.

-
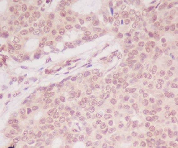
Immunohistochemical analysis of paraffin-embedded Human breast, using ATF5 Antibody.







鄂公网安备42018502007531号

