Rabbit Monoclonal to Histone H3
货号:
P17394
别名:
Histone H3.1, Histone H3, HIST1H3A;;Histone H3
应用:
WB,IHC/IHF,IF,IP/ChIP
反应种属:
Human,Mouse,Rat
抗体类型:
Primary antibody
Swissprot:
P68431
规格:
目录价
在线咨询
Description |
|---|
Core component of nucleosome. Nucleosomes wrap and compact DNA into chromatin, limiting DNA accessibility to the cellular machineries which require DNA as a template. Histones thereby play a central role in transcription regulation, DNA repair, DNA replication and chromosomal stability. DNA accessibility is regulated via a complex set of post-translational modifications of histones, also called histone code, and nucleosome remodeling. |
Specification |
|
|---|---|
| Aliases | Histone H3.1, Histone H3, HIST1H3A;;Histone H3 |
| Swissprot | P68431 |
| WB Predicted band size | Calculated MW: 15 kDa ; Observed MW: 17 kDa |
| Host/Isotype | Rabbit IgG |
| Antibody Type | Primary antibody |
| Storage | Store at 4°C short term. Aliquot and store at -20°C long term. Avoid freeze/thaw cycles. |
| Species Reactivity | Human,Mouse,Rat |
| Immunogen | A synthesized peptide derived from human Histone H3.1 |
| Formulation | Purified antibody in PBS with 0.05% sodium azide,0.05% BSA and 50% glycerol. |
Application |
|
|---|---|
| WB | 1/1000-1/2000 |
| IP | ChIP:1/20-1/50 |
| IHC | IHC:1/100-1/200;IHF:1/50-1/200 |
| IF | 1/50-1/200 |
Product Image
-
All lanes use the Antibody at 1:2K dilution for 1 hour at room temperature.

-
Western blot analysis of Histone H3 expression in (1) HeLa cell lysate; (2) 3T3 cell lysate.

-
JLX001 Modulated the Inflammatory Reaction and Oxidative Stress in pMCAO Rats via Inhibiting the TLR2/4-NF-κB Signaling Pathway. -Neurochemical Research

-
Immunofluorescent analysis of Hela cells, using Histone H3 Antibody.

-
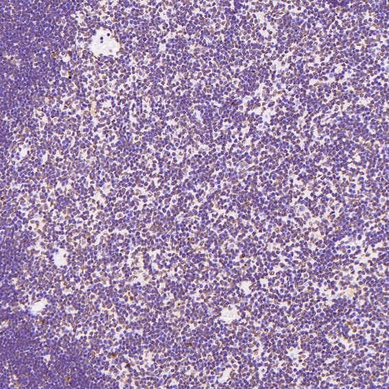
Immunohistochemical analysis of paraffin-embedded Rat thymus, using the Antibody at 1:200 dilution.

-
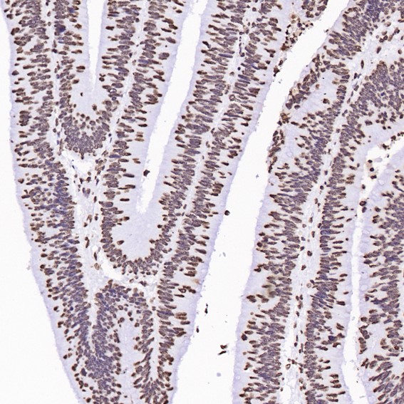
Immunohistochemical analysis of paraffin-embedded Human esophageal carcinoma, using the Antibody at 1:200 dilution.

-
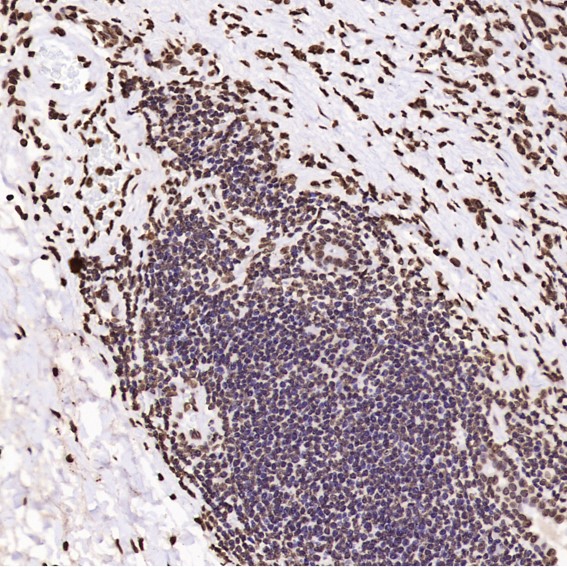
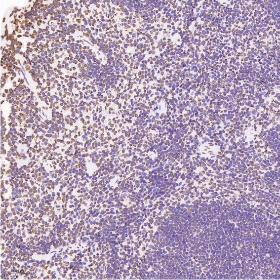
Immunohistochemical analysis of paraffin-embedded Human tonsil, using the Antibody at 1:200 dilution.

-
Immunohistochemical analysis of paraffin-embedded Human colon cancer, using the Antibody at 1:200 dilution.

-
Immunohistochemical analysis of paraffin-embedded Mouse spleen, using the Antibody at 1:200 dilution.

-
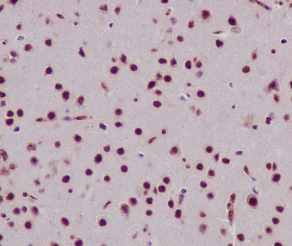
Immunohistochemical analysis of paraffin-embedded mouse brain, using Histone H3 Antibody.











鄂公网安备42018502007531号

