Rabbit Monoclonal to CyclinB2
货号:
P17370
别名:
ccnb2; CycB2; Cyclin B2; G2/mitotic specific cyclin B2;;Cyclin B2
应用:
WB,IHC/IHF,IF,IP
反应种属:
Human,Mouse,Rat
抗体类型:
Primary antibody
Swissprot:
O95067
规格:
目录价
在线咨询
Description |
|---|
Essential for the control of the cell cycle at the G2/M (mitosis) transition. |
Specification |
|
|---|---|
| Aliases | ccnb2; CycB2; Cyclin B2; G2/mitotic specific cyclin B2;;Cyclin B2 |
| Swissprot | O95067 |
| WB Predicted band size | 45 kDa |
| Host/Isotype | Rabbit IgG |
| Antibody Type | Primary antibody |
| Storage | Store at 4°C short term. Aliquot and store at -20°C long term. Avoid freeze/thaw cycles. |
| Species Reactivity | Human,Mouse,Rat |
| Immunogen | A synthesized peptide derived from human Cyclin B2 |
| Formulation | Purified antibody in PBS with 0.05% sodium azide,0.05% BSA and 50% glycerol. |
Application |
|
|---|---|
| WB | 1/1000-1/2000 |
| IP | 1/20-1/50 |
| IHC | IHC:1/100-1/200;IHF:1/50-1/200 |
| IF | 1/50-1/200 |
Product Image
-
All lanes use the Antibody at 1:1K dilution for 1 hour at room temperature.

-
All lanes use the Antibody at 1:1K dilution for 1 hour at room temperature.

-
Western blot analysis of Cyclin B2 expression in HeLa cell lysate.

-
Immunofluorescent analysis using the Antibody at 1:50 dilution.

-
Immunofluorescent analysis using the Antibody at 1:150 dilution.

-
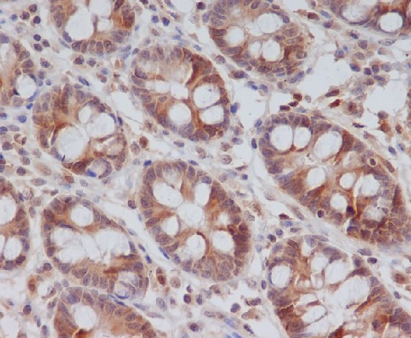
Immunohistochemical analysis of paraffin-embedded human colon, using Cyclin B2 Antibody.







鄂公网安备42018502007531号

