Rabbit Monoclonal to RUNX2
货号:
P17386
别名:
Runt-related transcription factor 2; Acute myeloid leukemia 3 protein; Core-binding factor subunit alpha-1; CBF-alpha-1; Oncogene AML-3; Osteoblast-specific transcription factor 2; OSF-2; Polyomavirus enhancer-binding protein 2 alpha A subunit; CBFA1; CCD
应用:
WB,IHC/IHF,IF,
反应种属:
Human,Mouse,Rat
抗体类型:
Primary antibody
Swissprot:
Q13950
规格:
目录价
在线咨询
Description |
|---|
RUNX2 regulates the transcription of various genes, including osteopontin, bone sialoprotein, and osteocalcin, via binding to the core site of the enhancers or promoters. RUNX2 is crucial for the maturation of osteoblasts and both intramembranous and endochondral ossification. |
Specification |
|
|---|---|
| Aliases | Runt-related transcription factor 2; Acute myeloid leukemia 3 protein; Core-binding factor subunit alpha-1; CBF-alpha-1; Oncogene AML-3; Osteoblast-specific transcription factor 2; OSF-2; Polyomavirus enhancer-binding protein 2 alpha A subunit; CBFA1; CCD1; PEBP2aA;;RUNX2 |
| Swissprot | Q13950 |
| WB Predicted band size | Calculated MW: 57 kDa ; Observed MW: 56 kDa |
| Host/Isotype | Rabbit IgG |
| Antibody Type | Primary antibody |
| Storage | Store at 4°C short term. Aliquot and store at -20°C long term. Avoid freeze/thaw cycles. |
| Species Reactivity | Human,Mouse,Rat |
| Immunogen | A synthesized peptide derived from human RUNX2 |
| Formulation | Purified antibody in PBS with 0.05% sodium azide,0.05% BSA and 50% glycerol. |
Application |
|
|---|---|
| WB | 1/1000-1/2000 |
| IHC | IHC:1/100-1/200;IHF:1/50-1/200 |
| IF | 1/50-1/200 |
Product Image
-
All lanes use the Antibody at 1:1K dilution for 1 hour at room temperature.

-
All lanes use the Antibody at 1:1K dilution for 1 hour at room temperature.

-
All lanes use the Antibody at 1:1K dilution for 1 hour at room temperature.

-
Immunofluorescent analysis of Saos-2 cells, using RUNX2 Antibody.

-
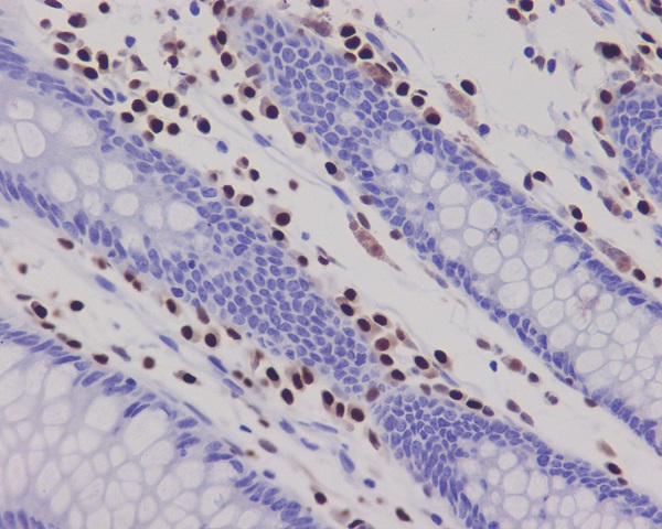
Immunohistochemical analysis of paraffin-embedded human colon, using RUNX2 Antibody.






鄂公网安备42018502007531号

