Rabbit Monoclonal to ACE2
货号:
P17346
别名:
Angiotensin-converting enzyme 2; ACE-related carboxypeptidase; Angiotensin-converting enzyme homolog; ACEH; Processed angiotensin-converting enzyme 2; ACE 2; ACEH;;ACE2
应用:
WB,IHC/IHF,IF,IP
反应种属:
Human,Mouse,Rat
抗体类型:
Primary antibody
Swissprot:
Q9BYF1
规格:
目录价
在线咨询
Description |
|---|
Essential counter-regulatory carboxypeptidase of the renin-angiotensin hormone system that is a critical regulator of blood volume, systemic vascular resistance, and thus cardiovascular homeostasis. |
Specification |
|
|---|---|
| Aliases | Angiotensin-converting enzyme 2; ACE-related carboxypeptidase; Angiotensin-converting enzyme homolog; ACEH; Processed angiotensin-converting enzyme 2; ACE 2; ACEH;;ACE2 |
| Swissprot | Q9BYF1 |
| WB Predicted band size | 92 kDa |
| Host/Isotype | Rabbit IgG |
| Antibody Type | Primary antibody |
| Storage | Store at 4°C short term. Aliquot and store at -20°C long term. Avoid freeze/thaw cycles. |
| Species Reactivity | Human,Mouse,Rat |
| Immunogen | A synthesized peptide derived from human ACE2 |
| Formulation | Purified antibody in PBS with 0.05% sodium azide,0.05% BSA and 50% glycerol. |
Application |
|
|---|---|
| WB | 1/1000-1/2000 |
| IP | 1/20-1/50 |
| IHC | IHC:1/100-1/200;IHF:1/50-1/200 |
| IF | 1/50-1/200 |
Product Image
-
All lanes use the Antibody at 1:1K dilution for 1 hour at room temperature.

-
All lanes use the Antibody at 1:1K dilution for 1 hour at room temperature.

-
All lanes use the Antibody at 1:1K dilution for 1 hour at room temperature.

-
Immunohistochemical analysis of paraffin-embedded Rat liver, using the Antibody at 1:200 dilution.

-
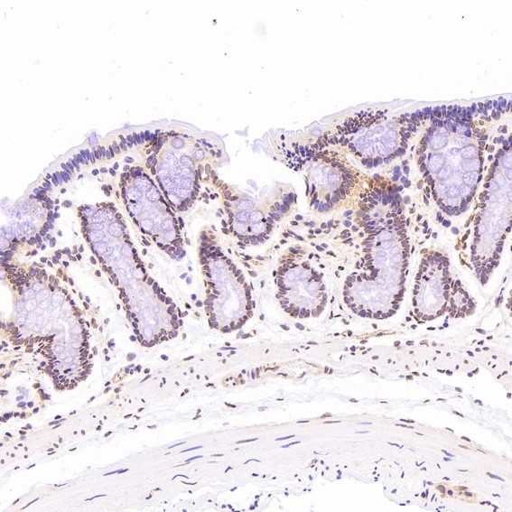
Immunohistochemical analysis of paraffin-embedded Rat stomach, using the Antibody at 1:200 dilution.

-
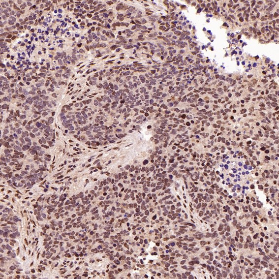
Immunohistochemical analysis of paraffin-embedded Human lung large cell cancer, using the Antibody at 1:100 dilution.

-
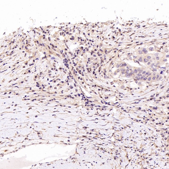
Immunohistochemical analysis of paraffin-embedded Human squamous cell carcinoma , using the Antibody at 1:100 dilution.

-
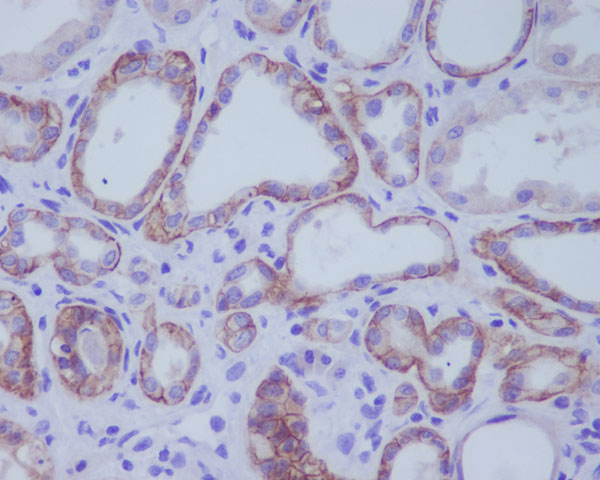
Immunohistochemical analysis of paraffin-embedded human kidney, using ACE2 Antibody.









鄂公网安备42018502007531号

