Rabbit Monoclonal to ADIPOR1
货号:
P17326
别名:
Adiponectin receptor protein 1; Progestin and adipoQ receptor family member I ; CGI-45; PAQR1; ADIPOR1;;Adiponectin receptor protein 1
应用:
WB,IHC/IHF,IF,FCM
反应种属:
Human,Mouse,Rat
抗体类型:
Primary antibody
Swissprot:
Q96A54
规格:
目录价
在线咨询
Description |
|---|
Receptor for ADIPOQ, an essential hormone secreted by adipocytes that regulates glucose and lipid metabolism.Required for normal glucose and fat homeostasis and for maintaining a normal body weight. ADIPOQ-binding activates a signaling cascade that leads to increased AMPK activity, and ultimately to increased fatty acid oxidation, increased glucose uptake and decreased gluconeogenesis. Has high affinity for globular adiponectin and low affinity for full-length adiponectin. |
Specification |
|
|---|---|
| Aliases | Adiponectin receptor protein 1; Progestin and adipoQ receptor family member I ; CGI-45; PAQR1; ADIPOR1;;Adiponectin receptor protein 1 |
| Swissprot | Q96A54 |
| WB Predicted band size | 43 kDa |
| Host/Isotype | Rabbit IgG |
| Antibody Type | Primary antibody |
| Storage | Store at 4°C short term. Aliquot and store at -20°C long term. Avoid freeze/thaw cycles. |
| Species Reactivity | Human,Mouse,Rat |
| Immunogen | A synthesized peptide derived from human Adiponectin receptor protein 1 |
| Formulation | Purified antibody in PBS with 0.05% sodium azide,0.05% BSA and 50% glycerol. |
Application |
|
|---|---|
| WB | 1/1000-1/2000 |
| IHC | IHC:1/100-1/200;IHF:1/50-1/200 |
| IF | 1/50-1/200 |
| FCM | 1/20-1/100 |
Product Image
-
All lanes use the Antibody at 1:1K dilution for 1 hour at room temperature.

-
All lanes use the Antibody at 1:1K dilution for 1 hour at room temperature.

-
Western blot analysis of ADIPOR1 expression in Human heart lysate.

-
Immunofluorescent analysis using the Antibody at 1:50 dilution.

-
Immunofluorescent analysis using the Antibody at 1:50 dilution.

-
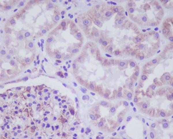
Immunohistochemical analysis of paraffin-embedded human kidney, using ADIPOR1 Antibody.







鄂公网安备42018502007531号

