Rabbit Monoclonal to Cytokeratin 16
货号:
P17259
别名:
CK-16; CK16; cytokeratin 16; Cytokeratin-16; FNEPPK; K16; K1C16; K1CP; keratin 16; Keratin-16; KRT16; KRT16A; NEPPK;;Cytokeratin 16
应用:
WB,IHC/IHF,IF,FCM
反应种属:
Human
抗体类型:
Primary antibody
Swissprot:
P08779
规格:
目录价
在线咨询
Description |
|---|
Epidermis-specific type I keratin that plays a key role in skin. Acts as a regulator of innate immunity in response to skin barrier breach: required for some inflammatory checkpoint for the skin barrier maintenance. |
Specification |
|
|---|---|
| Aliases | CK-16; CK16; cytokeratin 16; Cytokeratin-16; FNEPPK; K16; K1C16; K1CP; keratin 16; Keratin-16; KRT16; KRT16A; NEPPK;;Cytokeratin 16 |
| Swissprot | P08779 |
| WB Predicted band size | 51 kDa |
| Host/Isotype | Rabbit IgG |
| Antibody Type | Primary antibody |
| Storage | Store at 4°C short term. Aliquot and store at -20°C long term. Avoid freeze/thaw cycles. |
| Species Reactivity | Human |
| Immunogen | A synthesized peptide derived from human Cytokeratin 16 |
| Formulation | Purified antibody in PBS with 0.05% sodium azide,0.05% BSA and 50% glycerol. |
Application |
|
|---|---|
| WB | 1/1000-1/2000 |
| IHC | IHC:1/100-1/200;IHF:1/50-1/200 |
| IF | 1/50-1/200 |
| FCM | 1/20-1/100 |
Product Image
-
All lanes use the Antibody at 1:2K dilution for 1 hour at room temperature.

-
Western blot analysis of Cytokeratin 16 expression in HaCat cell lysate.

-
Immunofluorescent analysis using the Antibody at 1:50 dilution.

-
Immunofluorescent analysis using the Antibody at 1:50 dilution.

-
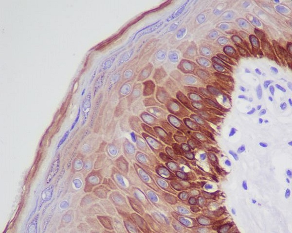
Immunohistochemical analysis of paraffin-embedded human skin, using Cytokeratin 16 Antibody.






鄂公网安备42018502007531号

