Rabbit Monoclonal to PRMT5
货号:
P17193
别名:
HRMT1L5; IBP72; JBP1; SKB1; SKB1Hs; PRMT5; Skb1Hs Methyltransferase;;PRMT5
应用:
WB,IHC/IHF,IF,FCM
反应种属:
Human,Mouse,Rat
抗体类型:
Primary antibody
Swissprot:
O14744
规格:
目录价
在线咨询
Description |
|---|
Arginine methyltransferase that can both catalyze the formation of omega-N monomethylarginine (MMA) and symmetrical dimethylarginine (sDMA), with a preference for the formation of MMA. |
Specification |
|
|---|---|
| Aliases | HRMT1L5; IBP72; JBP1; SKB1; SKB1Hs; PRMT5; Skb1Hs Methyltransferase;;PRMT5 |
| Swissprot | O14744 |
| WB Predicted band size | 73 kDa |
| Host/Isotype | Rabbit IgG |
| Antibody Type | Primary antibody |
| Storage | Store at 4°C short term. Aliquot and store at -20°C long term. Avoid freeze/thaw cycles. |
| Species Reactivity | Human,Mouse,Rat |
| Immunogen | A synthesized peptide derived from human PRMT5 |
| Formulation | Purified antibody in PBS with 0.05% sodium azide,0.05% BSA and 50% glycerol. |
Application |
|
|---|---|
| WB | 1/1000-1/5000 |
| IHC | IHC:1/100-1/200;IHF:1/50-1/200 |
| IF | 1/50-1/200 |
| FCM | 1/20-1/100 |
Product Image
-
All lanes use the Antibody at 1:5K dilution for 1 hour at room temperature.

-
All lanes use the Antibody at 1:5K dilution for 1 hour at room temperature.

-
Western blot analysis of PRMT5 expression in HeLa cell lysate.

-
Immunofluorescent analysis using the Antibody at 1:50 dilution.

-
Immunofluorescent analysis using the Antibody at 1:150 dilution.

-
Immunofluorescent analysis using the Antibody at 1:150 dilution.

-
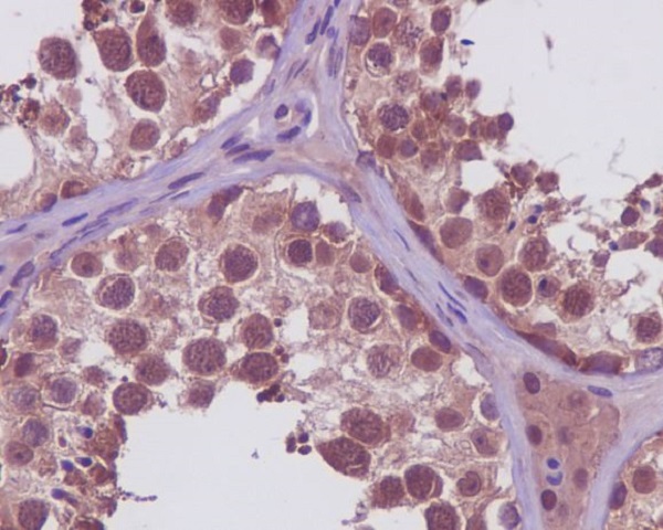
Immunohistochemical analysis of paraffin-embedded human testis, using PRMT5 Antibody .








鄂公网安备42018502007531号

