Rabbit Monoclonal to RUNX1/RUNX2/RUNX3
货号:
P17155
别名:
RUNX1; AML1; RUNX2; OSF2; RUNX3; CBFA3;;RUNX
应用:
WB,IHC/IHF,IF,IP,FCM
反应种属:
Human,Mouse,Rat
抗体类型:
Primary antibody
Swissprot:
Q01196/Q13761/Q13950
规格:
目录价
在线咨询
Description |
|---|
RUNX2 regulates the transcription of various genes including osteopontin, bone sialoprotein, and osteocalcin via binding to the core site of the enhancers or promoters.RUNX3/AML2 is a member of the Runt family of transcription factors. RUNX3 is important for the suppression of cell proliferation in the gastric epithelium, neurogenesis of the dorsal root ganglia, and T cell differentiation. |
Specification |
|
|---|---|
| Aliases | RUNX1; AML1; RUNX2; OSF2; RUNX3; CBFA3;;RUNX |
| Swissprot | Q01196/Q13761/Q13950 |
| WB Predicted band size | Calculated MW: 44-57 kDa ; Observed MW: 51 kDa |
| Host/Isotype | Rabbit IgG |
| Antibody Type | Primary antibody |
| Storage | Store at 4°C short term. Aliquot and store at -20°C long term. Avoid freeze/thaw cycles. |
| Species Reactivity | Human,Mouse,Rat |
| Immunogen | A synthesized peptide derived from human RUNX |
| Formulation | Purified antibody in PBS with 0.05% sodium azide,0.05% BSA and 50% glycerol. |
Application |
|
|---|---|
| WB | 1/1000-1/2000 |
| IP | 1/20-1/50 |
| IHC | IHC:1/100-1/200;IHF:1/50-1/200 |
| IF | 1/50-1/200 |
| FCM | 1/20-1/100 |
Product Image
-
All lanes use the Antibody at 1:2K dilution for 1 hour at room temperature.

-
All lanes use the Antibody at 1:1K dilution for 1 hour at room temperature.

-
Western blot analysis of RUNX1/RUNX2/RUNX3 expression in MOLT4 cell lysate.

-
Immunofluorescent analysis using the Antibody at 1:50 dilution.

-
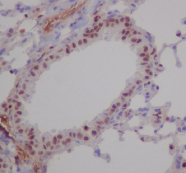
Immunohistochemical analysis of paraffin-embedded mouse lung, using RUNX1/RUNX2/RUNX3 Antibody.






鄂公网安备42018502007531号

