Rabbit Monoclonal to CXCR4
货号:
P17149
别名:
CD184 ; CXCR4; C-X-C chemokine receptor type 4; FB22; Fusin; HM89; LCR1; LESTR; NPYRL; SDF-1 receptor; Stromal cell- derived factor 1 receptor;;CXCR4
应用:
WB,IHC/IHF,IF,
反应种属:
Human,Mouse
抗体类型:
Primary antibody
Swissprot:
P61073
规格:
目录价
在线咨询
Description |
|---|
Receptor for the C-X-C chemokine CXCL12/SDF-1 that transduces a signal by increasing intracellular calcium ions levels and enhancing MAPK1/MAPK3 activation. Acts as a receptor for extracellular ubiquitin; leading to enhance intracellular calcium ions and reduce cellular cAMP levels. Involved in haematopoiesis and in cardiac ventricular septum formation. Plays also an essential role in vascularization of the gastrointestinal tract, probably by regulating vascular branching and/or remodeling processes in endothelial cells. Could be involved in cerebellar development. |
Specification |
|
|---|---|
| Aliases | CD184 ; CXCR4; C-X-C chemokine receptor type 4; FB22; Fusin; HM89; LCR1; LESTR; NPYRL; SDF-1 receptor; Stromal cell- derived factor 1 receptor;;CXCR4 |
| Swissprot | P61073 |
| WB Predicted band size | Calculated MW: 40 kDa ; Observed MW: 43 kDa |
| Host/Isotype | Rabbit IgG |
| Antibody Type | Primary antibody |
| Storage | Store at 4°C short term. Aliquot and store at -20°C long term. Avoid freeze/thaw cycles. |
| Species Reactivity | Human,Mouse |
| Immunogen | A synthesized peptide derived from human CXCR4 |
| Formulation | Purified antibody in PBS with 0.05% sodium azide,0.05% BSA and 50% glycerol. |
Application |
|
|---|---|
| WB | 1/500-1/1000 |
| IHC | IHC:1/100-1/200;IHF:1/50-1/200 |
| IF | 1/50-1/200 |
Product Image
-
All lanes use the Antibody at 1:500 dilution for 1 hour at room temperature.

-
All lanes use the Antibody at 1:500 dilution for 1 hour at room temperature.

-
All lanes use the Antibody at 1:500 dilution for 1 hour at room temperature.

-
Immunofluorescent analysis using the Antibody at 1:50 dilution.

-
Immunofluorescent analysis of Jurkat cells, using CXCR4 Antibody .

-
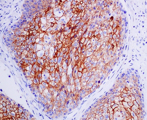
Immunohistochemical analysis of paraffin-embedded human cervical carcinoma, using CXCR4 Antibody.







鄂公网安备42018502007531号

