Rabbit Monoclonal to Lactate Dehydrogenase
货号:
P17138
别名:
LDHA; LDH-M; LDH1; PIG19; GSD11; TRG5; Proliferation inducing gene 19;;LDHA
应用:
WB,IHC/IHF,IF,IP,FCM
反应种属:
Human,Mouse,Rat
抗体类型:
Primary antibody
Swissprot:
P00338
规格:
目录价
在线咨询
Description |
|---|
Interconverts simultaneously and stereospecifically pyruvate and lactate with concomitant interconversion of NADH and NAD+. |
Specification |
|
|---|---|
| Aliases | LDHA; LDH-M; LDH1; PIG19; GSD11; TRG5; Proliferation inducing gene 19;;LDHA |
| Swissprot | P00338 |
| WB Predicted band size | 37 kDa |
| Host/Isotype | Rabbit IgG |
| Antibody Type | Primary antibody |
| Storage | Store at 4°C short term. Aliquot and store at -20°C long term. Avoid freeze/thaw cycles. |
| Species Reactivity | Human,Mouse,Rat |
| Immunogen | A synthesized peptide derived from human LDHA |
| Formulation | Purified antibody in PBS with 0.05% sodium azide,0.05% BSA and 50% glycerol. |
Application |
|
|---|---|
| WB | 1/1000-1/2000 |
| IP | 1/20-1/50 |
| IHC | IHC:1/100-1/200;IHF:1/50-1/200 |
| IF | 1/50-1/200 |
| FCM | 1/20-1/100 |
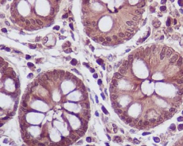
Product Image
-
All lanes use the Antibody at 1:1K dilution for 1 hour at room temperature.

-
All lanes use the Antibody at 1:1K dilution for 1 hour at room temperature.

-
Western blot analysis of LDHA expression in (1)Hela cell lysate;(2)Human heart lysate.

-
Immunoprecipitate (IP) analysis using the Antibody at 1:50 dilution. (wb at 1:2K dilution)

-
Immunofluorescent analysis using the Antibody at 1:50 dilution.

-
Immunohistochemical analysis of paraffin-embedded human colon, using Lactate Dehydrogenase Antibody.







鄂公网安备42018502007531号

